Caso 65: laboratório

Ver caso clínico >

MOTIVO DA CONSULTA:
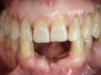
A paciente surgiu na consulta referindo que tinha aparecido um “buraquinho” na zona da gengiva junto a um implante. Não referiu ter tido dor nem qualquer tipo de tumefação.

DIAGNÓSTICO:
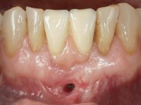
Paciente do sexo feminino com 62 anos, fumadora. 10 Anos atrás tinha sido colocado um implante na zona dos dentes 41 e 42 para reabilitar com uma ponte de dois elementos a falta destes dois dentes. Feito o exame imagiologico foi observada uma perda óssea junto ao implante compatível com uma peri-implantite. A parede óssea vestibular junto ao implante apresentava uma extensa reabsorção, estando a superfície vestibular do implante em contacto com os tecidos moles e numa determinada zona um orifício permitia a visualização do implante através do tecido gengival. Os dentes 42 e 32 apresentavam já alguma mobilidade. 

PLANO DE TRATAMENTO:
Perante duas hipóteses, tentar aproveitar o implante ou removê-lo, optei por removê-lo. Duas razões para esta decisão, primeiro a perda óssea vestibular era muito extensa e em segundo, os dentes adjacentes apresentavam um mau prognóstico a médio prazo. Nesse sentido foi proposto remover o implante, extrair os dentes 42 e 32, simultaneamente colocar 2 implantes no seu lugar e reabilitar de forma imediata a zona com uma ponte provisória aparafusada de 4 elementos. Após osteointegração seria confecionada uma ponte aparafusada de 4 elementos com cerâmica de tonalidade coronária e gengival.

NOTAS DO TRATAMENTO:
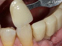
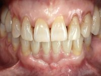
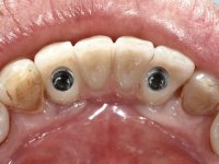
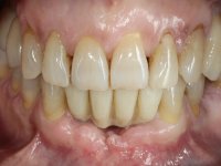
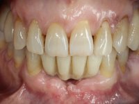
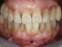
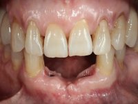
Após estudo imagiológico foi planificada a colocação de dois implantes de 3.3 mm de diâmetro e 10 mm de comprimento. No dia da cirurgia foram extraídos os dentes 42 e 32 e removido o implante. Os implantes foram colocados na zona dos alvéolos tendo o cuidado de lingualizar um pouco o seu posicionamento. Foi feita uma impressão pela técnica de moldeira aberta com o retalho aberto para a confeção da ponte provisória imediata. Enquanto a impressão foi para o laboratório, foram colocados parafusos de cicatrização altos e feita a sutura da ferida cirúrgica. A paciente esperou 2 horas na sala de espera enquanto no laboratório era confecionada a ponte provisória. A ponte provisória imediata aparafusada foi colocada e o seu assentamento controlado imagiologicmente. Passados 3 meses foi realizada a impressão definitiva com uma técnica de moldeira aberta. Nessa consulta aproveitamos para polir a ponte provisória com taças de borracha para que os tecidos moles pudessem maturar em melhores condições. Foi feita a recolha de informação para caracterizar da melhor forma a estrutura monolítica em Zr. Foram utilizadas guias de cor para a cerâmica de tonalidade coronária e gengival. No laboratório foi confecionada uma ponte em Zr. aparafusada que foi cuidadosamente caracterizada. Após aprovação pela paciente foi colocada definitivamente em boca. O aperto foi feito com uma chave dinâmica com 35 N de torque. Os orifícios foram tapados com teflon e obturados com resina composta.



???