Caso 1: laboratório

Ver caso clínico >

MOTIVO DA CONSULTA:
Substituir a prótese parcial removível no dente 21.

DIAGNÓSTICO:
Paciente do sexo masculino, com 55 anos de idade e fumador. Apresentou-se na consulta com um implante colocado na zona do dente 21. A arquitectura gengival mostrava-se planificada, com ausência de papilas interdentárias e uma deformidade gengival vertical na zona do implante. Os dentes apresentavam uma significativa exposição radicular.

NOTAS DA COLABORAÇÃO “MÉDICO-DENTISTA & TÉCNICO DE PRÓTESE DENTÁRIA”:
Após observação clínica conjunta, médico e técnico, decidiu-se iniciar a parte laboratorial da reabilitação procurando os seguintes objectivos:

  1. O componente protético a colocar sobre o implante deveria, se possível ser aparafusado, evitando interfaces com cimento.

  2. O componente protético deveria incorporar uma parte cerâmica que mimetiza-se a coroa e raiz dos dentes adjacentes, bem como uma parte cerâmica que mimetiza-se a gengiva que falta na deformidade vertical.

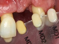
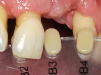
Feita a impressão e realizado o modelo de trabalho conclui-se que a inclinação do implante não permitia realizar uma prótese com fixação aparafusada Assim foi feito um coto individualizado fundido com o interface protético colocado 1 mm infra gengival, para facilitar a remoção do cimento. O colo do coto foi realizado com o desejado perfil de emergência bem como com o polimento adequado. O coto implantar foi provado em boca verificando-se, o seu ajuste, se o perfil de emergência era o adequado e se a linha de acabamento cervical estava 1 mm infra gengival. Nessa consulta foi feito um levantamento de cor dos tecidos gengivais, radiculares e coronários utilizando guias de cor adequadas. A cerâmica foi colocada procurando mimetizar a gengiva em falta e o componente radicular e coronário dos dentes adjacentes. Apesar de pouco convencional, esta reabilitação foi bem aceite pelo paciente, foi simples de realizar e mostrou-se esteticamente satisfatória e estável no tempo.