Caso 15: clínica

Ver caso laboratorial >

MOTIVO DA CONSULTA:
Fractura do dente 2.1 após traumatismo.

DIAGNÓSTICO:
Paciente do sexo masculino com 16 anos, não fumador. Paciente com ausência do dente 2.1 após traumatismo dentário ocorrido 2 anos antes. Aquando o traumatismo o paciente recorreu à clinica com a coroa do dente 2.1 ferulizada com resina composta aos adjacentes. Após avaliação clinica e imagiológica foi concluído que o dente 2.1 tinha extração indicada. Simultaneamente também foi diagnosticada uma desarmonia dento maxilar que necessitava de intervenção. Os pais do paciente e o próprio mostraram vontade em resolver o problema resultante do traumatismo bem como fazer a correcção da desarmonia dento-maxilar.

PLANO DE TRATAMENTO:
Após avaliação clinica interdisciplinar, ortodôntica, prostodontica e implantológica, foi decidido propor previamente ao paciente a correcção ortodôntica. Após o tratamento ortodôntico seria feita uma ponte provisória de longa duração, Tipo Maryland e posteriormente com o paciente em idade adulta poder evoluir ou não para a colocação de um implante na zona do 2.1.Facto relevante, é o do plano de tratamento se estender por vários anos, sendo necessário proporcionar ao paciente uma qualidade de vida aceitável sobre o ponto de vista estético e funcional.

NOTAS DO TRATAMENTO:
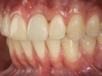
O tratamento ortodôntico desenrolou-se durante aproximadamente 2 anos e durante esse período foi feita a extração do dente 2.1. No dia da extracção foi colocado uma coroa de resina composta colada a um bracket que estava fixado no arco. Desta forma foi conseguida a primeira provisionalização. Durante a fase de contenção ortodôntica foi realizada outra coroa de resina composta que foi colada com uma rede metálica aos dentes adjacentes. Esta coroa provisória tradicionalmente seria utilizada até a colocação de um implante na idade adulta. Entretanto reabilitaria o paciente estética e funcionalmente e em simultâneo faria a contenção dos incisivos superiores. Não satisfeitos com o resultado optamos por confecionar uma prótese adesiva em Zr e cerâmica que cumprisse com estes objectivos de uma forma mais capaz. Avaliado o espaço edentulo correspondente ao dente 2.1, verificou-se que Mesio-Distalmente era superior ao diâmetro mesio-distal do dente 1.1. Nesse sentido foi pedido à ortodontia que harmoniza-se essa diferença. Quando esse objectivo foi conseguido foi removido o dente provisório e a rede que o fixava e foi feita a impressão para a confecção da ponte adesiva. Utilizamos uma técnica de dupla mistura com dupla viscosidade. No sentido de não alterar as superfícies palatinas e inter-proximais dos dentes 1.1 e 2.2 o dente provisório foi colado a um arco ortodôntico que desta forma possibilitou a temporização sem utilizar as superfícies palatinas. A recolha da cor dos incisivos superiores foi feita antes da colagem dos brackets que fixariam o arco com o dente provisório, facilitando o processo. Com os modelos de trabalho prontos foi feita com o auxilio da tecnologia CAD-CAM uma infra-estrutura de Zr. Sobre esta infra-estrutura foi colocada cerâmica. Na superfície interna das asas e conectores foi aplicada um adesivo cerâmico com o objectivo de colar a ponte aos dentes adjacentes. A ponte adesiva foi colada em boca seguindo a técnica convencional de colagem. Passados 3 anos o paciente apresenta-se satisfeito com a reabilitação não estando prevista até à data a colocação de um implante.



PUBLICAÇÃO:
Couto Viana P, Jaime Portugal, Zsolt Kovacs, Ivo Lopes, André Correia – Resin-bonded fixed dental prosthesis with a modified treatment surface in a zirconia framework: A case report – (Int J Esthet Dent 2016;11:378-392)