Caso 16: laboratório

Ver caso clínico >

MOTIVO DA CONSULTA:
O paciente apresentava os incisivos centrais superiores com restaurações de resina composta que fraturavam com frequência. O paciente também não gostava do “aspeto envelhecido” dos seus dentes.

DIAGNÓSTICO:
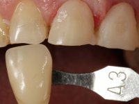
Paciente do sexo masculino, com 64 anos de idade, não fumador. Apresentava um desgaste dentário generalizado. Os incisivos centrais, superiores e inferiores, tinham os bordo incisais sem esmalte com exposição da dentina. Os incisivos centrais superiores estavam restaurados com resina composta esteticamente sofrível e fraturavam com frequência.

PLANO DE TRATAMENTO:
Foi proposto ao paciente colocar duas facetas de cerâmica feldespática, com inserção frontal e recobrimento do bordo incisal.

NOTAS DO TRATAMENTO:
A primeira ação que realizamos foi um “Mock-up” direto em boca com resina composta sem adesão. Assim foi avaliada em conjunto com o paciente a vantagem estética de aumentar a altura dos incisivos centrais superiores. Aceite a proposta, foi feita uma pré-impressão em silicone para a confeção das facetas provisórias. Colocado um fio de afastamento gengival, foi realizado o preparo dentário. Essa preparação teve particular atenção ao facto da inserção das duas facetas ser frontal. Nesse sentido as paredes mesiais e distais não necessitaram de convergência. O bordo incisal foi preparado perpendicular ao eixo de inserção. Após o preparo, foi feito o IDS (imediate dentin sealing). A impressão foi feita com técnica de dupla mistura com silicone “Putty soft” e silicone “Light”. As facetas provisórias foram feitas com resina composta de polimerização ”dual”. Na mesma sessão foi feita a escolha da cor. Em laboratório foram confecionadas duas facetas de cerâmica feldespática com eixo de inserção frontal. Foi utilizado um modelo de trabalho “tipo Geller”.Na clinica, após a colocação do dique de borracha “rubber dam”, foram coladas as facetas. Após a colagem foi feita uma cuidadosa avaliação da oclusão, principalmente na protusão. A recuperação da dominância dos incisivos centrais foi esteticamente apreciada pelo paciente.