Caso 40: clínica

Ver caso laboratorial >

MOTIVO DA CONSULTA:
O paciente foi vítima de um acidente, apresentando um traumatismo da zona anterior da face. O paciente queria “pôr os dentes que partiu, o mais parecido possível com os que tinha”.

DIAGNÓSTICO:
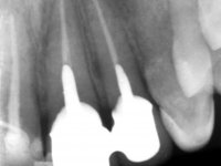
Paciente do sexo masculino, com 29 anos não fumador. Após atendimento hospitalar, na sequência de um traumatismo facial, surgiu na consulta com os dentes 2.1 e 2.2 com extensas fraturas coronais e com exposição pulpar. As fraturas eram justa-ósseas a nível palatino e as raízes apresentavam mobilidade acentuada. Os dentes 1.3,1.2 e 1.1 apresentavam-se ferulizados com um arame ortodôntico. A ferulização abrangia as superfícies vestibulares e palatinas. Os três dentes em conjunto também apresentavam mobilidade. O lábio inferior apresentava-se ainda suturado e a higiene oral era sofrível.

PLANO DE TRATAMENTO:
Foi proposto ao paciente elaborar dois planos de tratamento, um conservador e outro mais cirúrgico. As duas propostas poderiam ser abordadas de início ou então tornarem-se complementares, isto é, se o plano mais conservador não tivesse sucesso avançar-se ia para o mais invasivo.

A –Plano de Tratamento Conservador: Realização de tratamento endodôntico nos dentes 2.1 e 2.2. Gengivectomia acompanhada ou não de osteoplastia na zona palatina dos dentes 2.1 e 2.2. Colocação de ponte provisória realizada em laboratório e confeção de espigões falsos cotos E.F.C fundidos, nos dentes fraturados. Colocação de ponte de 2 elementos com infraestrutura em Zr e cerâmica.

B – Plano de Tratamento Cirúrgico: Confeção de Ponte provisória de 2 elementos aderida aos dentes 1.1 e 1.2 e 2.3. Extração dos dentes 2.1 e 2.2 e colocação imediata de um implante no local do 2.1. Regeneração tecidular guiada no local a intervir. Ponte provisória de 2 elementos aparafusada sobre o implante. Ponte definitiva com infraestrutura em Zr revestida com cerâmica aparafusada com interface metálico ao implante.

Estas duas hipóteses assentavam no pressuposto dos dentes 1.3, 1.2 e 1.1 não necessitarem de ser intervencionados.
O paciente depois de devidamente elucidado escolheu o plano de tratamento conservador.

NOTAS DO TRATAMENTO:
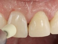
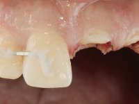
Foi feito o tratamento endodôntico dos dentes 2.1 e 2.2.de imediato, a sintomatologia que o paciente manifestava a isso impunha. Na mesma consulta foi realizada uma extensa gengivetomia com o bisturi elétrico, no sentido de expor os limites cervicais da fratura. Foram colocadas resinas compostas nos remanescentes radiculares com a intenção de reformular a emergência dos tecidos moles. Realizei a impressão dos remanescentes radiculares para confeção em laboratório de uma ponte provisória. A ponte provisória de 2 elementos, apresentava um formato que visava no futuro acomodar o coto dos espigões falsos cotos que iria ser cimentados nos remanescentes radiculares. Apresentava um reforço metálico palatino e dois apoios para os dentes adjacentes, um mesial e outro distal. Os remanescentes radiculares foram preparados para a confeção de dois espigões falso coto fundidos. As linhas de acabamento cervical foram definidas e os canais radiculares desobturados e preparados. A impressão foi realizada com a utilização de tutores de plástico com a técnica de dupla mistura. O afastamento gengival foi feito utilizando pasta de caolino. A ponte provisória foi rebasada em boca com acrílico auto polimerizavel, cimentada provisoriamente sobre as raízes e os apoios colados aos dentes adjacentes. No laboratório foram confecionados os E.F.C. fundidos, tendo o cuidado de preservar espaço para a definição no re preparo dentário da linha de acabamento cervical. Removida a ponte provisória foi feita a cimentação dos E.F.C. fundidos com cimento de ionómero de vidro reforçado com resina. A ponte provisória teve que ser retocada para permitir a acomodação dos cotos e simultaneamente foi readaptada à redefinida linha de acabamento cervical. Durante 2 meses a ponte provisória acompanhou a estabilização periodontal das raízes traumatizadas e simultaneamente conseguiu a maturação da arquitetura gengival.
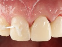
Durante esse período foi também removida a férula dos dentes 1.3, 1.2 e 1.1 no sentido de avaliar a sua estabilidade. Esta remoção foi feita com muito cuidado para não danificar a superfície vestibular dos dentes. Foram utilizados discos de polimento de forma sequencial e taças de borracha. Após a repetição de testes de vitalidade verificou-se a necrose do dente 1.1, tendo sido realizado o necessário tratamento endodôntico. A impressão definitiva foi feita com a técnica de dupla mistura e o caolino utilizado como afastamento gengival. A ponte provisória foi mais uma vez rebasada. No laboratório, utilizando a tecnologia CAD-CAM, foi feita uma infraestrutura em Zr e posteriormente revestida com cerâmica. Durante este processo sentimos a necessidade de acrescentar resina composta por mesial do dente 2.3 com o objetivo de manter os diâmetros mesio-distais simétricos aos dentes do 1.1 e 1.2. Nesse sentido foi confecionada uma chave de silicone transparente que seria utilizada em boca para orientar esse acrescento. Na porção mesial da superfície palatina do dente 2.1 da ponte foi feita uma pequena cavidade que seria utilizada para colocar uma pequena férula de arame com o objetivo de assegurar a eventual abertura de um diastema. Em boca foi realizado um isolamento relativo e feito o acrescento de resina composta no 2.3 com a ajuda da chave de silicone. A ponte foi cimentada definitivamente com cimento de ionómero de vidro reforçado com resina. Finalmente foi colado uma pequena porção de arame entre a ponte e o dente 1.1.