Caso 41: laboratório

Ver caso clínico >

MOTIVO DA CONSULTA:
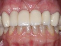
A paciente não gostava do seu sorriso, dizia que tinha “os dentes com um aspeto muito artificial”.

DIAGNÓSTICO:
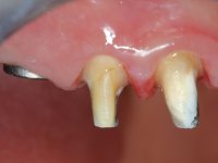
Paciente do sexo feminino, com 43 anos, não fumadora. Após exame clínico e imagiológico, verificou-se que apresentava no maxilar superior os dentes 1.7/1.4/1.3/2.2/2.3/2.4/2.6 com tratamento endodôntico, apresentava a ausência dos dentes 1.6/1.5/1.2/1.1/2.1 e 2.5 e estava reabilitada com uma ponte metalo-cerâmica de 10 elementos em monobloco. A zona anterior da maxila apresentava-se com extensa reabsorção óssea vertical e vestibular. No maxilar inferior, tinha dois implantes colocados no local dos dentes 4.6 e 4.5 reabilitados com uma ponte metalo-cerâmica. Os dentes 3.6 e 3.7, com tratamento endodôntico, estavam reabilitados com postes intra-radiculares e uma ponte metalocerâmica de dois elementos. Os dentes antero inferiores apresentavam restaurações de resina composta, tipo classe III e IV. O dente 3.5 estava ausente. A paciente apresentava uma redução da dimensão vertical da oclusão, acompanhada por acentuado desgaste dentário e algumas fraturas de cerâmica. Boa higiene oral.

PLANO DE TRATAMENTO:
Perante a situação clínica apresentada, foi proposta uma reabilitação oral que melhorasse a aparência estética, mas que também solucionasse a falta de dentes posterior, procurando uma reabilitação funcional e estética. Foi proposta a substituição da ponte metalo-cerâmica por uma ponte com infraestrutura em zircónio, revestida a cerâmica coronária e gengival. A zona edêntula do primeiro quadrante seria reabilitada com 2 implantes e uma ponte de dois elementos. Pretendia-se com este plano de tratamento recuperar a dimensão vertical da oclusão e reformular a anatomia dentária, criando uma aparência estética mais natural.

NOTAS DA COLABORAÇÃO “MÉDICO DENTISTA & TÉCNICO DE PRÓTESE DENTÁRIA”:
Foram realizadas impressões em alginato a ambas as arcadas, acompanhadas pelo registo das relações inter-maxilares e recolha de informação com arco facial. No laboratório foi confecionada uma ponte provisória de 13 elementos em acrílico autopolimerizável na qual foi incorporado um reforço metálico. Os dentes 1.7/1.4/1.3/2.2/2.3/2.4 e 2.6 foram utilizados como pilares. A ponte metalo-cerâmica foi removida após a realização de cortes longitudinais feitos com brocas diamantadas. Os preparos dentários foram re-preparados e a ponte provisória foi rebasada em boca com acrílico auto-polimerizável. Após a confeção da ponte provisória, foi confecionada uma epítese gengival em resina composta com tonalidade gengival, com o objetivo de funcionar como uma maquete, que permitisse à paciente pré visualizar a possibilidade de utilização de cerâmica de tonalidade gengival no trabalho final. Esta opção foi aprovada como válida pela paciente. Posteriormente foi planeada e executada a colocação de dois implantes no primeiro quadrante. O monobloco provisório foi retirado para a colocação dos implantes e após a cirurgia foi novamente cimentado provisoriamente. Passado o período de osteointegração foram realizadas as impressões ao maxilar superior. Na zona anterior foram utilizados fios de afastamento gengival impregnados e nas zonas posteriores foi utilizada pasta de caolino. A impressão aos implantes utilizou a técnica de moldeira aberta. O material de impressão utilizado foi o silicone de adição putty soft e regular, ambos de presa rápida. No laboratório, o modelo das restaurações provisórias e a maquete em resina serviram de orientação ao enceramento da infra-estrutura. O modelo de trabalho em gesso e o enceramento da infraestrutura foram colocados num scanner laboratorial e deram origem a um modelo de trabalho digital no qual foi sobreposta a digitalização da infraestrutura encerada. Esta sobreposição facilitou o desenho CAD da infraestrutura em Zr. Posteriormente, o desenho CAD por um processo CAM de fresagem deu origem às peças de Zr. A infraestrutura foi pigmentada com uma coloração rosada, que favorecesse a colocação posterior de cerâmica de tonalidade gengival. Durante a modelação da infraestrutura foi detetada a necessidade de aumentar o desgaste oclusal no dente 1.4. Este desgaste foi feito no modelo de trabalho real e foi confecionada uma guia de controlo de desgaste em acrílico que acompanhou a prova das infraestruturas. Em boca foi realizado o desgaste corretivo e foi realizada a prova das peças de Zr. Durante a prova foi reavaliada a escolha da cor da cerâmica de tonalidade gengival. O tratamento foi finalizado no laboratório e após aprovação pela paciente foi colocado definitivamente em boca.