Caso 47: clínica

Ver caso laboratorial >

MOTIVO DA CONSULTA:
A paciente gostava de “colocar um dente fixo na falha que tinha atrás do canino” e se possível esteticamente queria “os dois dentes da frente maiores”.

DIAGNÓSTICO:
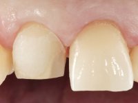
Paciente do sexo feminino, com 65 anos, não fumadora. É portadora de uma prótese removível esquelética inferior e mostra ter hábitos oclusais para-funcionais. Os bordos incisais dos Incisivos, bem como as cúspides caninas mostram desgaste. Apresenta agenesia do dente 1.2 e ausência do dente 1.4 com manifesta redução do espaço mesio-distal correspondente. O bordo incisal dos incisivos centrais superiores apresenta-se desgastado, mostrando-se os dentes com uma altura reduzida. Este facto associado á inversão do bordo incisal superior confere um aspeto envelhecido ao sorriso. O espaço edêntulo correspondente ao dente 1.4 mostra uma redução mesio-distal incompatível com a colocação de um implante dentário. Higiene oral satisfatória.

PLANO DE TRATAMENTO:
Após serem eliminadas pela paciente hipóteses de tratamento mais abrangentes, foi proposto á paciente uma intervenção minimalista e minimamente invasiva. Foi proposta a confecção de duas facetas feldspáticas para reabilitar os incisivos centrais superiores e uma ponte tipo Maryland com infra-estrutura revestida a cerâmica para ser colada aos dentes 1.5 e 1.3. As facetas teriam como objetivo aumentar o volume vestibular dos dentes e aumentar o seu tamanho trazendo o bordo incisal mais para baixo, acabando com a inversão do bordo incisal. A ponte tipo Maryland permitiria uma reabilitação fixa sem preparação dentária significativa dos dentes adjacentes.

NOTAS DO TRATAMENTO:
Após colocação do fio de afastamento gengival foi feita a preparação dentária dos incisivos centrais superiores para serem reabilitados com facetas. A Preparação dentária para a ponte Maryland consiste em paralelizar as paredes inter-proximais dos dentes adjacentes ao espaço edêntulo. A impressão dos preparos foi feita com uma técnica de dupla mistura com silicone de adição de consistência putty soft e regular. No laboratório foram confeccionadas duas facetas de cerâmica feldspática e uma ponte Maryland com infra-estrutura em Zr posteriormente revestida a cerâmica. Na superfície da infra-estrutura que vai contactar com a superfície dentária, foi aplicado um “liner” de cerâmica com o intuito de poder facilitar a colagem desta infra-estrutura ao esmalte dentário. A colagem em boca começou pela ponte tipo Maryland. Foi aplicado um isolamento relativo diferente do convencional usando Teflon para o efeito. A colagem das facetas foi feita com isolamento absoluto de forma convencional. A paciente ficou agradada com o resultado obtido.