Caso 51: clínica

Ver caso laboratorial >

MOTIVO DA CONSULTA:
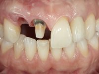
A paciente não gostava da aparência do incisivo central superior direito. O dente “destoava” e não se apresentava com um aspeto “natural”. Este foi o motivo que nos trouxe a paciente à consulta pela primeira vez. Passados 5 anos a paciente recorre à consulta porque os implantes colocados no local dos dentes 1.2 e 4.6 “não se encontravam bem”.

 

DIAGNÓSTICO:
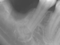
Paciente do sexo feminino, com 36 anos de idade, não fumadora. Apresentava o dente 1.1 com uma tonalidade mais escura que os dentes adjacentes. Feito o exame imagiológico, observou-se que o dente 1.1 tinha tratamento endodôntico, a paciente tinha 3 implantes colocados, dois no local dos dentes 1.2 e 2.2 e o outro no 4.6. A paciente tinha sido tratada ortodonticamente, apresentava um fenótipo gengival médio e uma boa higiene oral. Após 5 anos da primeira intervenção a paciente apresenta-se na consulta com sintomatologia infeciosa compatível com uma peri-implantite nos implantes 1.2 e 4.6. Após exame clínico, foi confirmada imagiológicamente. A perda óssea vertical tinha mais de 4mm nas duas situações.

 

PLANO DE TRATAMENTO:
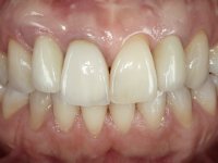
Na primeira intervenção foi proposto à paciente uma coroa total com infraestrutura em Zr revestida por cerâmica. O facto do dente ter um tratamento endodôntico foi determinante nesta opção. Na segunda intervenção, foi proposto a remoção dos dois implantes. No implante colocado no local do dente1.2 seria feita uma regeneração óssea simultânea à colocação do novo implante. Contando com a inevitável retração gengival na zona cervical da coroa do 1.1, foi também proposto refazer a coroa do dente 1.1. Foi também adiantado que por questões de simetria, se fosse necessário, também poderia ter que se intervir no dente 2.2. Assim, na zona antero-superior, teríamos coroa aparafusada sobre um novo implante colocado no 1.2, nova coroa no1.1 e uma faceta ou coroa no dente 2.1 se necessário. No implante colocado na zona do 4.6, propomos removê-lo, colocar um novo implante, posteriormente reabilitado com uma coroa aparafusada.

 

NOTAS DO TRATAMENTO:
Primeira Fase.
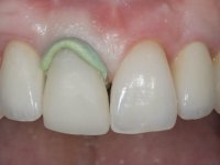
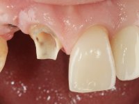
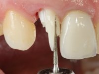
O dente 1.1 foi preparado para uma coroa total, o afastamento gengival foi feito com caolino comprimido pela restauração provisória. A impressão foi feita com uma técnica de dupla mistura com dupla viscosidade. No laboratório foi confecionada uma coroa com infraestrutura em Zr revestida por cerâmica. A coroa foi cimentada em boca com cimento de ionómero de vidro reforçado por resina.

Segunda Fase.
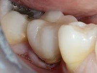
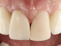
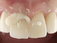
Após 5 anos da primeira intervenção, a paciente surge na consulta com uma peri-implantite nos implantes colocados no local dos dentes 1.2 e 4.6. Começamos por abordar a peri-implantite no local do dente 2.2. Foi feita uma ponte provisória de laboratório em acrílico com 2 elementos. O dente 1.1 como pilar e o 1.2 como pôntico, este último apresentava um apoio distal. A coroa do 1.2 foi removida do coto com um corte longitudinal feito com turbina e depois foi fraturada com um mini luxador. O coto foi de seguida desaparafusado do implante. Fez-se o mesmo procedimento para remover a coroa do 1.1. O dente 1.1 foi re-preparado e a ponte provisória foi rebaseada em boca com acrílico autopolimerizável. Feito o correto acabamento e polimento da provisória foi feita a sua cimentação temporária com cimento de policarboxylato. Numa consulta posterior. foi feita a remoção da ponte provisória, feita a cirurgia para explantação do implante, colocou-se um novo implante e fez-se a regeneração óssea da zona com uma membrana não reabsorvível. 3 meses após foi removida a coroa do implante colocado no 4.6. Foi feito um corte horizontal com turbina na zona cervical e com um mini luxador descolou-se a coroa do coto. Após este procedimento fez-se a explantação do implante. Após 6 meses foi colocado um novo implante no local do 4.6. Após a osteointegração foi feita a impressão com a técnica de moldeira aberta e foi confecionada em laboratório uma coroa aparafusada sobre o implante. Aprovada pela paciente foi apertada definitivamente em boca. Após 1 mês removemos a ponte provisória antero-superior, reforçamos o dente 1.1 com um poste intra- radicular e reconstruimos o coto com uma resina de polimerização dual. Nessa mesma consulta expomos o implante colocado no 1.2 e fizemos uma impressão pela técnica de moldeira aberta com silicone de dupla viscosidade e presa rápida. No laboratório foi feita uma ponte provisória de 2 elementos, aparafusada sobre o implante e cimentada sobre o dente. A primeira ponte provisória foi removida e colocada a segunda aparafusada sobre o implante. A linha de acabamento cervical do 1.1 foi rebaseada com resina composta durante o aperto do parafuso do implante. Depois foi removida, foram feitos os acabamentos e finalmente apertada sobre o implante e cimentada temporariamente sobre o dente. Após 2 meses de maturação dos tecidos moles em função do perfil de emergência criado pela nova ponte provisória, pudemos avaliar a estética conseguida em conjunto com a paciente. Neste longo processo o dente 2.1 teve que fazer um tratamento endodôntico. Decidiu-se assim fazer também uma coroa no dente 2.1.O dente 2.1 foi preparado na mesma consulta em que se fez a impressão ao implante. A ponte provisória foi utilizada para individualizar a peça de transferência, copiando o seu perfil de emergência e em seguida foi realizado o afastamento gengival com caolino. A impressão foi feita com a técnica de moldeira aberta com silicone de dupla viscosidade e presa rápida. Após a escolha da cor, a impressão foi enviada  para o laboratório onde foram confecionadas 2 coroas  com infraestrutura em Zr. revestidas a cerâmica para os dentes 1.1 e 2.1 e uma coroa aparafusada sobre o implante no dente 1.2. O trabalho final foi aprovado pela paciente e foi colocado definitivamente em boca. A coroa sobre o implante foi aparafusada com 35 N e as coroas foram cimentadas com cimento de ionómero de vidro reforçado com resina.