Caso 55: clínica

Ver caso laboratorial >

MOTIVO DA CONSULTA:
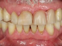
O paciente sofreu um traumatismo e a fratura dos dentes fez com que fosse reabilitado de urgência com uma prótese esquelética. O que o trouxe a consulta foi a vontade de ter dentes fixos no sector anterior e abandonar a prótese removível. Inicialmente os dentes 1.2 e 1.1, que se apresentavam em muito mau estado, não estavam no plano de reabilitação do paciente. Posteriormente, com um novo traumatismo nestes dentes, levou a que o paciente optasse por querer reabilitar de forma fixa os 4 incisivos.

DIAGNÓSTICO:
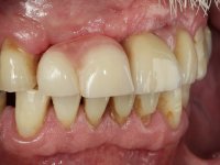
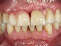
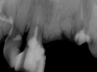
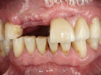
Paciente do sexo masculino, com 64 anos de idade, não fumador, recorreu á minha consulta após traumatismo do sector anterior. Os dentes 2.1 e 2.2 apresentavam extensas fraturas infra ósseas. Os dentes 1.2 e 1.1 apresentavam-se ferulizados com uma resina composta na zona inter-proximal. O dente 1.1 apresentava um tratamento endodôntico sofrível e um poste intra-radicular. O dente 1.2 estava vital e tinha uma extensa restauração da resina composta. Estando ferulizados, não foi possível avaliar o grau de mobilidade dentária de cada um dos dentes, mas o conjunto não tinha mobilidade. Após exame clínico e Imagiológico conclui-se que as raízes dos dentes 2.1 e 2.2 tinham extração indicada. O paciente estava reabilitado provisoriamente com uma prótese removível esquelética com 3 dentes. Apresentava algum comprometimento periodontal e os dentes mostravam as superfícies oclusais e incisais desgastadas. Higiene oral razoável.

PLANO DE TRATAMENTO:
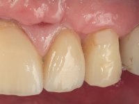
Foi proposta a extração das raízes dos dentes 2.1 e 2.2. e colocação de 1 implante no local do dente 2.1 que suportaria uma ponte aparafusada com 2 elementos. O dente 2.1 sobre o implante e o 2.2 em extensão. Se em termos periodontais a zona do 1.2 e 1.1 continua-se a maturar sem problemas e se garantir-se um bom suporte sem mobilidade, seria proposto refazer o tratamento endodôntico do 1.1 e fazer o tratamento endodôntico no 1.2. Posteriormente e após colocação de postes intra-radiculares os dentes seriam reabilitados com uma ponte com 2 elementos. Após a colocação da ponte de2 elementos sobre o implante colocado no local do 2.1, o paciente sofre um novo traumatismo que compromete a viabilidade dos dentes 1.2 e 1.1. Nessa altura é proposta a colocação de um novo implante no local do dente 1.1 e confeção de uma ponte de 4 elementos com os dentes 1.1 e 2.1 sobre os implantes e os dentes 1.2 e 2.2 como pônticos em extensão.

NOTAS DO TRATAMENTO:

Primeira Fase

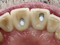
Foram feitas as extrações das raízes dos dentes 2.1 e 2.2 porque estavam a incomodar. Após 3 meses de cicatrização fez-se o exame imagiológico e estudo implantar para colocação do implante no local do 2.1.Foi colocado um implante de 4.1mm de diâmetro por 10mm de altura, colocado ao nível ósseo. Passados 2 meses após a cirurgia implantar, foi feita a segunda cirurgia para colocação de um parafuso de cicatrização. Foi feita a impressão ao implante com técnica de moldeira aberta com silicone de dupla viscosidade um mês após. No laboratório foi confecionada uma infraestrutura metálica para uma ponte de 2 elementos aparafusada ao implante. Esta infraestrutura apresentava 2 apoios palatinos para ajudar a estabilizar os dentes 1.1 e 2.3 a recuperar do traumatismo. Recuperados os dentes, os apoios poderiam ser retirados. Esta peça apresentava uma conexão interna ao implante com sistema anti-rotacional. A prova da infraestrutura foi feita em boca sendo o seu correto ajuste verificado com controle imagiológico. No revestimento da infraestrutura foi utilizada cerâmica de tonalidade coronária e gengival. Depois de verificada em boca e aprovada pelo paciente a ponte foi apertada definitivamente e o orifício de acesso obturado.

Segunda Fase

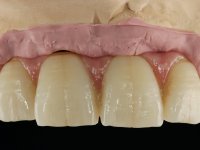
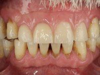
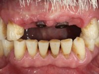
6 meses após a colocação da ponte, o paciente sofre um novo traumatismo comprometendo a viabilidade dos dentes 1.2 e 1.1. Foi realizada uma prótese removível acrílica para reabilitar provisoriamente o paciente enquanto foram extraídos os dentes 1.2 e 1.1 e foi colocado o implante no local do dente 1.1. Passados 3 meses foi realizada uma impressão ao implante colocado no 1.1 e simultaneamente foi feito um arrasto da ponte dos dentes 2.1 e 2.2. Para esse efeito no implante 2.1 foi utilizado um parafuso de uma peça de transferência. Dessa forma conseguiu-se impressionar corretamente a arquitetura gengival do sector antero-superior. O objetivo era simultaneamente impressionar corretamente esta zona e aproveitar a estrutura metálica desta ponte para confecionar a nova ponte de 4 elementos. Foi colocado um parafuso de cicatrização no implante 2.1 e foram acrescentados os dentes 2.1 e 2.2 na prótese removível. Com perícia laboratorial foi criada uma nova infraestrutura metálica de 4 elementos assente nos implantes 1.1 e 2.1 e com os elementos pônticos suspensos 1.2 e 2.2. No implante 2.1 manteve-se a conexão interna ao implante no implante 1.1 optou-se por uma peça intermédia facilitando a inserção da infraestrutura. A nova infraestrutura foi verificada em boca. Como pode ter havido alguma alteração da arquitetura gengival com a remoção da ponte e colocação do parafuso de cicatrização no 2.1, foi feita uma chave de silicone para permitir uma impressão de arrasto da infraestrutura metálica. Uma nova gengiva artificial foi realizada no modelo de trabalho de acordo com esta impressão de arrasto. Foi colocada cerâmica de tonalidade coronária e gengival. A peça protética foi aparafusada lentamente em boca para permitir uma adaptação dos tecidos moles. Após o correto assentamento e verificação imagiológica a ponte foi definitivamente apertada em boca e os orifícios de acesso obturados. Independentemente dos infortúnios que o paciente teve, pude ter a satisfação de o ver contente com esta reabilitação.