Caso 58: clínica

Ver caso laboratorial >

MOTIVO DA CONSULTA:
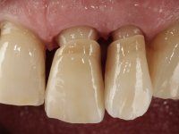
O paciente não gostava da ponte que tinha colocada nos dentes 2.1 e 2.2. Não gostava particularmente das “margens em metal”. A transição da ponte para a superfície radicular também mostrava um bordo metálico fino que “raspava” o lábio superior.

DIAGNÓSTICO:
Paciente do sexo masculino com 64 anos de idade, não fumador. A ponte metalo-cerâmica de 2 elementos que reabilitava os dentes 2.1 e 2.2 apresentava as margens infiltradas e muito expostas. Os dentes pilares estavam vitais respondendo a estímulos térmicos. A ponte parece ter extruido aumentando ainda mais a sensação de discrepância entre o limite cervical dos pilares da ponte e os dentes adjacentes. Os dentes apresentam uma exposição radicular generalizada e a recessão gengival é manifesta. Os dentes tinham mobilidade. O fenótipo gengival é espesso e a higiene oral é sofrível.

PLANO DE TRATAMENTO:
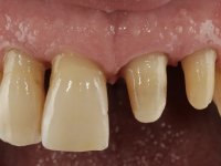
Foi proposta a substituição da ponte metalo-cerâmica por uma ponte de Zr ou 2 coroas em Zr. O objetivo era reabilitar esteticamente o paciente mantendo a vitalidade dos dentes.

NOTAS DO TRATAMENTO:
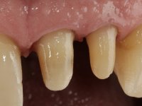
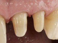
Foi feita uma pré-impressão em silicone para confeção de uma ponte provisória em resina composta de polimerização dual. A ponte metalo-cerâmica foi removida com cortes de turbina e micro luxadores. Após a remoção da ponte os cotos foram cuidadosamente re-preparados procurando manter a vitalidade dos dentes. As linhas de acabamento cervical foram colocadas a nível intra-sulcular. Os dentes pilares foram re-preparados para coroas porque o paralelismo exigido para a confeção de uma ponte exigia um maior desgaste da estrutura dentária. Imediatamente a seguir ao preparo dentário foi feito o selamento dentinário com a aplicação de adesivo. O afastamento gengival foi feito com a técnica do caolino pressionado pela ponte provisória. A impressão foi feita pela técnica de dupla mistura com dupla viscosidade e silicones de presa rápida. No laboratório foram confecionadas 2 coroas em Zr. Particular cuidado foi colocado na caracterização radicular procurando mimetizar as raízes dos dentes adjacentes. O trabalho definitivo foi colocado em boca verificando-se o ajuste e a aprovação por parte do paciente. A cimentação definitiva das coroas foi feita com cimento de ionómero de vidro reforçado com resina.