Caso 20: clínica

Ver caso laboratorial >

MOTIVO DA CONSULTA:
O paciente apresentou-se na consulta com intenção de fazer uma reabilitação estética e funcional completa.

DIAGNÓSTICO:
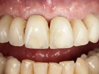
Paciente do sexo masculino, com 64 anos de idade e não fumador. Apresentava uma prótese combinada superior composta por uma ponte metalo-cerâmica fixa de 6 elementos (1.3,1.2,1.1,2.1,2.2, e 2.3) e uma prótese esquelética superior também com 6 elementos. No maxilar inferior apresentava duas pontes metalo-cerâmicas, uma de 3 elementos no 4º quadrante e outra de 2 elementos no 3º quadrante. A adaptação das pontes estava comprometida e esteticamente não satisfaziam o paciente. A higiene oral não era satisfatória.

PLANO DE TRATAMENTO:
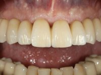
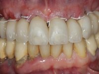
Foi proposto ao paciente fazer uma reabilitação total superior sobre implantes com colocação de uma prótese provisória aparafusada em carga imediata. Após osteointegração seria colocada uma prótese fixa metalo-cerâmica, se possível, com fixação aparafusada. No maxilar inferior foi proposta a colocação de 3 implantes no 4º quadrante para suportar uma ponte metalo-cerâmica de 3 elementos.

NOTAS DO TRATAMENTO:
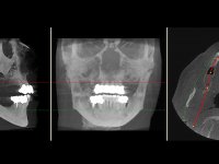
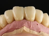
Realizada uma TAC, foi planificada a colocação de 6 implantes no maxilar superior. Foi decidida a colocação de dois implantes na zona dos incisivos centrais, dois implantes na zona dos caninos e dois na zona dos segundos pré-molares. A ausência de estrutura óssea na zona distal do primeiro quadrante implicava a realização de uma regeneração óssea no seio maxilar direito. A cirurgia foi realizada e após a colocação dos implantes foi feita a impressão para confeção de uma prótese provisória metalo-acrílica aparafusada para colocação em carga imediata no dia seguinte. O implante colocado na zona do seio maxilar direito não foi colocado em carga. Passados 6 meses foi realizada a impressão aos 6 implantes com técnica de moldeira aberta e foram confecionados os modelos de trabalho. Numa consulta seguinte foram montados os modelos de trabalho em articulador semi-ajustável utilizando o arco facial e a relação inter-maxilar obtida com a prótese provisória. Foi feita uma muralha de silicone sobre a ponte provisória com o objetivo de orientar o trabalho laboratorial. Realizada a infra estrutura metálica aparafusada esta foi provada em boca e finalmente após colocação de cerâmica o trabalho foi colocado definitivamente. Como passaram vários meses após a realização da primeira TAC foi feita uma segunda para planificar a colocação de implantes no 4º quadrante. Colocaram-se 3 implantes na mesma sessão em que foi feita a extração dos pilares da ponte. Estes implantes foram posteriormente reabilitados com uma ponte metalo-cerâmica aparafusada de três elementos.

TRABALHO CIRÚRGICO:
Dr. Manuel Neves