Case 62: clinical

Go to lab case >

CHIEF COMPLAINT:
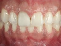
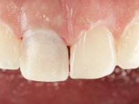
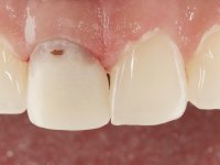
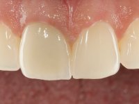
The patient came to the consultation because she did not like the “dark line next to the gums” that she had on her upper right central incisor.

DIAGNOSIS:
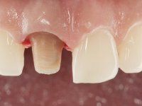
Female patient, 33 years old, non-smoker. Tooth 11 with endodontic treatment rehabilitated with a crown. This crown shows an infiltrated cervical interface. The smile line was high, this area being very visible. The patient had a thick gingival phenotype and good oral hygiene.

TREATMENT PLAN:
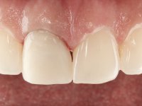
The patient was asked to remove the infiltrated crown and make a new crown with a ceramic-coated Zr infrastructure. As aesthetically, the crown was very well achieved, the patient and her dentist showed doubts about the need or not to intervene immediately. After clarifying my position on the infiltrated interfaces, we decided to jointly intervene. In these situations, the sooner you intervene the better

TREATMENT NOTES:
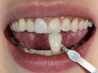
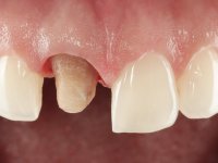
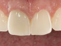
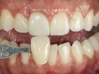
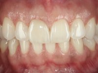
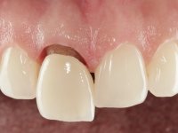
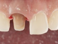
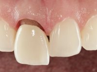
A pre-print was performed to make a crown in dual-cured resin. After a cross-section with a turbine, the infiltrated crown was removed with a microluxador. The dental stump was re-prepared to better define the shape and location of the cervical margin. It was necessary to place composite resin on the buccal surface of the provisional crown to improve its esthetics. The impression was made using a double-mix technique with two-viscosity, quick-setting silicones. In the laboratory, a crown with a ceramic-coated Zr infrastructure was made. After placing it in the mouth, we verified that the crown showed a greater translucency than the symmetrical one, not fulfilling our aesthetic goals. The ceramist had the opportunity to observe the situation in the clinic, collecting records for later rectification. The new crown was placed in the mouth and approved by the patient. The final cementation was done with resin-reinforced glass ionomer cement.