Case 16: clinical

Go to lab case >

CHIEF COMPLAINT:
Frequent fracturing of composite resin restorations, in central upper incisives. Patient was also displeased with the “aged” look of his teeth.

DIAGNOSIS:
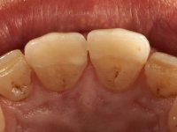
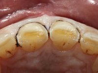
Male patient, 64 years old, non-smoker. Presented widespread dental wear. Both superior and inferior central incisives were lacking enamel on incisal edges, with exposed dentin. Superior central incisives had been previously restored with composite resin, which offered tolerable aesthetics and was prone to frequent fracturing.

TREATMENT PLAN:
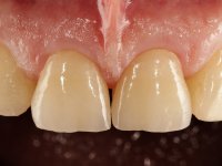
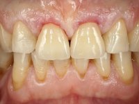
The suggested treatment consisted of two feldspathic ceramic veneers, with frontal insertion and incisal coverage.

TREATMENT NOTES:
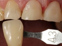
It was important to involve the patient in assessing the aesthetic advantage of increasing the height of central superior incisors. For this purpose, a direct mock-up was molded in-mouth, with non-adhesive composite resin. Once the patient agreed to the course of treatment, a silicon matrix was prepared, for subsequent production of provisional veneers. After installing a gingival deflection cord, dental preparation was performed, with special consideration to the fact that the insertion of both veneers would be frontal. Accordingly, mesial and distal walls did not require convergence. The incisal edge was prepared perpendicular to the axis of insertion. After preparation, IDS (immediate dentin sealing) was carried out. A “one-step, double mix technique” was adopted for impression, using putty soft and light silicon. Provisional veneers were produced using dual polymerization composite resin. Color selection was done in the same session.
The two feldspathic ceramic veneers, featuring frontal insertion axis, were produced in the lab, using a Geller type working model. Back in the clinic, after placing a rubber dam, the veneers were installed. A careful examination of the occlusion, with special focus on protrusion, was performed immediately after final bonding. The patient manifested a favorable aesthetic appreciation, regarding the retrieved dominance of the central incisors.