Case 29: clinical

Go to lab case >

CHIEF COMPLAINT:
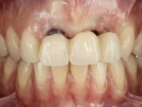
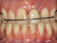
Patient wanted a "crown" on a pre-existing implant, to "replace the front tooth".

DIAGNOSIS:
Female patient, 30 years old, non-smoker. The patient appeared in consultation after orthodontic treatment and placement of an implant at tooth site 2.1. Teeth 3.7, 3.6 and 4.7 had root canal therapy and teeth 1.5, 2.5, 2.6 and 4.5 had undergone extensive restorations. Patient had a thin periodontium and showed a satisfactory oral hygiene. After surgical exposure of the implant, it proved to be positioned improperly. Prosthetic rehabilitation of the implant proved impossible by adopting acceptable aesthetic criteria. The patient carried an acrylic temporary crown on a stump screwed as a fallback solution for six years, as she had not accepted the offer to remove the implant. After this time, patient returned to consultation with an abscess in tooth 1.1. After analyzing the situation, it was verified that teeth 1.1 and 2.2 had indicated extraction and the implant should be removed or submerged.

TREATMENT PLAN:
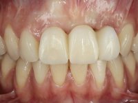
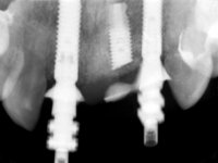
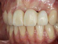
In the initial phase, it was proposed to the patient to perform the surgical implant exposure and after clinical evaluation, make prosthetic decisions. Once the healing screw was placed and the soft tissues were healed, an inadequate position of the implant was found. In view of the dramatic situation, the patient was proposed to remove the implant and put a new one after tissue regeneration. This proposal was rejected by the patient, who suggested temporary rehabilitation of the current implant. A new proposal was then made, to rehabilitate the implant, consisting of a screwed abutment, and on this, the placement of an acrylic crown with coronal and gingival components. After 6 years with the provisional treatment, the patient appeared in consultation with an abscess in tooth 1.1. After clinical and imaging analysis, it was decided to remove teeth 1.1 and 2.2, submerge the implant, place two implants at the site of 1.1 and 2.2 and perform adequate tissue regeneration. Temporization would be done with a provisional 3-element bridge, adhered with a net to the neighboring teeth. After osseointegration, definitive rehabilitation would be done with a 3-element bridge, including zirconia infrastructure and ceramic cover.

TREATMENT NOTES:
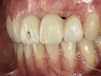
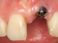
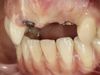
The surgical implant exposure and the healing screw placement proved to be a negative surprise regarding its position. Since the proposed removal of the implant was refused, we advanced to its provisional rehabilitation. An open tray impression technique was done, and a screwed abutment with a coronal and gingival component and an acrylic crown were made in the laboratory, using these two components. The provisional crown was placed in the mouth until a final decision was made. Six years passed before the patient returned to the clinic with an abscess on tooth 1.1. The choice to remove teeth 1.1 and 2.2 was made, to create a provisional 3-element bridge with a net to be adhered to the adjacent teeth. Surgery was planned and performed, placing the two implants at the site of 1.1 and 2.2, and the implant at the 2.1 site was cut with the objective of submerging it, while adequate tissue regeneration was performed (Surgical Work performed By Dr. Manuel Neves). During osseointegration, the patient used the fixed provisional bridge. A first impression was made for confection of a zirconia screwed provisional bridge, which worked the soft tissues for twelve weeks. The definitive impression was made with the individualisation of custom impression copings. Final rehabilitation was done with ceramized abutments, and also a bridge with zirconia infrastructure and ceramic cover. Due to the inclination of the implant placed at the site of tooth 1.1, the bridge required cemented fixation.