Case 35: lab

Go to clinical case >

CHIEF COMPLAINT:
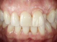
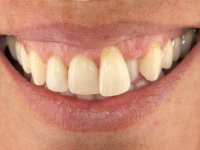
Patient was unhappy about "a protruding front tooth with exposed root.”

DIAGNOSIS:
42-year-old female patient, non-smoker. Vestibularized tooth 2.1 with cervical gingival retraction. The root had a cervical erosion. The 2.2 tooth was retracted and with crossbite. The marginal gingiva of tooth 2.2 was inflamed. Patient had a high smile line. Good hygiene and periodontal health.

TREATMENT PLAN:
The patient had a periodontal consultation, in which the root coverage procedure was explained in detail. After being informed of this option, the patient declined. Once the surgical solution was eliminated, the hypothesis of prosthodontically alleviating the aesthetic problem was explored. The patient was offered a gingiva shade, feldesphatic ceramic Veneer, to solve the problem with a minimally invasive procedure.

TEAM PLAY “DENTIST – DENTAL TECHNICIAN” NOTES:
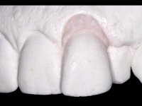
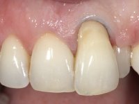
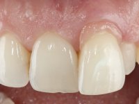
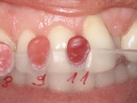
After insertion of a gingival retraction cord, tooth preparation was performed to eliminate retentive zones. Immediate dentin sealing was done immediately after tooth preparation. An impression was made using wash technique Impression, with putty soft silicone and light silicone, both fast set. A gingiva shade ceramic guide was used. The collection of gingiva shade information was done by the ceramist, with a personalized shade guide. In the lab, a refractory cast working model was prepared, and a gingiva shade, feldsphatic ceramic veneer was made. The thickness of the prosthetic piece proved very difficult to reduce as much as we would like to. The insertion axis also introduced some difficulty, but this was easier to get around. Once the work was approved by the patient, definitive bonding with translucid composite resin was performed. Resin remains were carefully removed with a scalpel blade, and the dental surface was polished with dental polishing discs and suitable dental rubber polishing points.