Case 36: clinical

Go to lab case >

CHIEF COMPLAINT:
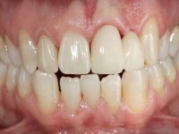
Patient was unhappy with the aesthetic appearance of his old bridge, and felt "a slight mismatch on the back of the bridge".

DIAGNOSIS:
Fifty year old male patient, non-smoker. Carries a Maryland Bridge replacing tooth 2.2. "Maryland wings" are metallic and the dental surfaces in contact with them are infiltrated. Tooth 2.1 had a feldspathic ceramic veneer covering the vestibular surface. Tooth 1.2 presented a feldspathic ceramic veneer with exposed cervical margin. The edentulous space corresponding to tooth 2.2 is narrow and tall. Patient presents an open anterior bite, good oral hygiene and reasonable periodontal health.

TREATMENT PLAN:
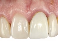
A two element bridge was suggested, using tooth 2.1 as abutment and tooth 2.2 as cantilever pontic. Cantilever bridge with ceramic-coated Zr infrastructure.

TREATMENT NOTES:
Arcade prints were made with irreversible hydrocolloid, for the lab to prepare an acrylic provisional bridge, with tooth 2.1 as abutment and tooth 2.2 as cantilever pontic. A palatal support was made to be bonded with the palatal surface of tooth 2.3. After removal of the Maryland bridge and the vestibular veneer from tooth 2.1, the dental abutment was re-prepared by making the cervical finish line intrasulcular. The provisional bridge made in the lab was relined on the mouth with self-curing acrylic and composite resin. During 6 weeks the soft tissues were worked and stabilized, preparing the consultation for impression. In this session, gingival separation was performed with kaolin paste, using the provisional bridge to compress the material into the gingival sulcus. Impression was performed using wash technique, and the provisional bridge was placed. At the end of the consultation, an impression was made from the provisional bridge placed in the mouth, using irreversible hydrocolloid. The patient had approved the aesthetics of the provisional. This information was passed on to the lab, where the work followed a silicone index, based on the shape and arrangement of the provisional bridge, approved by the patient. The cantilever bridge was built with a Zr infrastructure, with particular care in designing the connector. After being tried and approved by the patient, the prosthetic was cemented in the mouth with resin modified glass ionomer.