Case 38: clinical

Go to lab case >

CHIEF COMPLAINT:
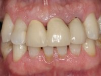
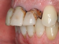
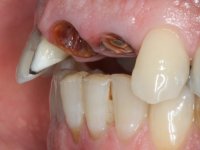
The patient had "ugly front teeth and one of them was shaking”.

DIAGNOSIS:
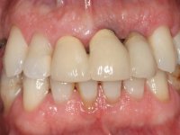
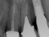
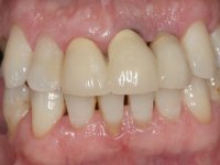
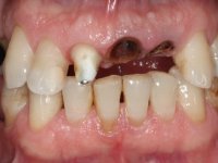
Patient male, 60 years old, non-smoker. After imaging and clinical examination, it was found that the patient had teeth 2.1 and 2.2 with extensive acrylic restorations, with screwed intra radicular posts and very poor endodontic treatments. Tooth 2.2 had an extensive apical lesion, the post had been placed on a false route and had mobility. Tooth 1.1 had an extensive resine restoration and tooth 1.2 presented a mesial restoration, also in composite resin, Class III type. The antero-superior sector was vestibularized, as consequence of a loss of vertical occlusion dimension associated with posterior edentulism. The patient showed reasonable periodontal health and satisfactory oral hygiene.

TREATMENT PLAN:
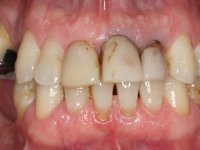
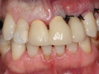
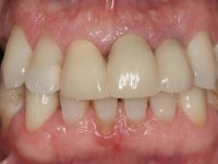
In view of the clinical situation presented, an oral rehabilitation was proposed that contemplated the antero-superior situation but also the lack of posterior teeth, seeking a more comprehensive functional and aesthetic rehabilitation. However, this proposal was not accepted, and therefore the intervention had to be restricted to the upper-antero sector. Obviously, the limitations of this intervention were explained to the patient. Thus, it was proposed to perform the endodontic treatment of tooth1.1 and to redo tooth 1.2, including: placing an intra-radicular post on 1.1 and a cast post and core in 2.1; place a provisional bridge with 3 elements with teeth 1.1 and 2.1 as abutment teeth and 2.2 as a pontic. This provisional would allow to rehabilitate the situation between the extraction of tooth 2.2 and the placement of an implant in its place. Work would be finished with 3 metal-ceramic crowns, two on teeth 1.1 and 2.1 and another on the implant placed in the site of the tooth 2.2.

TREATMENT NOTES:
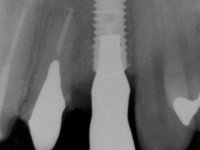
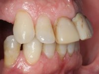
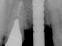
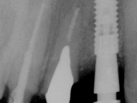
Endodontic treatments were performed and a metalic non screwed intra radicular post was placed on tooth 1.1. An alginate impression was made for laboratory confection of a reinforced acrylic provisional bridge, with teeth 1.1 and 2.2 as abutments and 2.2 as a pontic. After preparation of tooth 1.1 and root preparation of 2.1, the bridge was relined in mouth with self-polymerizable acrylic using a metal post for further retaining the prepared root canal on 2.1. Tooth 2.2 was cut at the gingival level to function as support. In the same session, the impression of the root canal of the 2.1 was made for the laboratory confection of a cast post and core. A double mixture technique with plastic tutor was used after previous canal vaseline with endodontic file and cotton. The provisional bridge was provisionally cemented and the cast post and core was made in the laboratory. Cast post and core cementation was made with resin-reinforced glass ionomer cement and the provisional bridge had to be readjusted to the new situation by removing the post at the site of 2.1. After careful surgical planning, a dental implant was placed, simultaneously with extraction of the root of tooth 2.2. The provisional bridge was placed by resting on the healing screw placed in the implant. The respected osteointegration period was 12 weeks, during which the provisional bridge was relined twice. After complete maturation of hard and soft tissues, definitive impressions were made. The gingival retraction technique was applied with an impregnated retraction cord and impression was performed using double mixture, open tray impression technique. A custom precious metal abutment implant was prepared in the lab, along with 3 metal caps to be used as infrastructures for the metal ceramic crowns. Particular care was taken in the confection of the cervical finishing line of the implant abutment, in order to follow the soft tissues emergence profile. Proof of infrastructures was done in the mouth being evaluated clinically and imagiologically. Collection of color information was done by the ceramist at the office. Ceramic was applied in the laboratory and the finished work was placed in the mouth after approval by the patient. Definitive cementation was made with resin-reinforced glass ionomer cement, and the first crown to be cemented was that of the implant, to facilitate removal of the excess.