Case 41: clinical

Go to lab case >

CHIEF COMPLAINT:
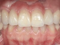
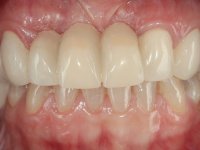
The patient did not like her smile, said that she had "very artificial looking teeth".

DIAGNOSIS:
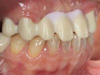
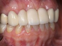
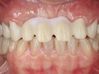
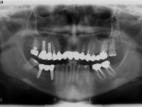
Female patient, 43 years old non-smoker. After a clinical and imaging examination, the patient presented teeth 1.7 / 1.4 / 1.3 / 2.2 / 2.3 / 2.4 / 2.6 with endodontic treatment in the upper jaw, showing absence of teeth 1.6 / 1.5 / 1.2 / 1.1 /2.1 and 2.5, and was rehabilitated with a 10-element monobloc metal-ceramic bridge. The anterior maxilla presented extensive vertical and vestibular bone reabsorption. In the lower jaw, two implants were placed at the site of teeth 4.6 and 4.5 rehabilitated with a metal-ceramic bridge. Teeth 3.6 and 3.7, with endodontic treatment, were rehabilitated with intra-radicular posts and a two-element metal-ceramic bridge. The antero-inferior teeth presented class III and IV resin restorations. Tooth 3.5 was absent. The patient had a vertical dimension of occlusion reduction, accompanied by accentuated dental wear and some ceramic fractures. Good oral hygiene.

TREATMENT PLAN:
In view of the clinical situation, oral rehabilitation was proposed to improve the aesthetic appearance, but also to solve the lack of posterior teeth, seeking a functional and aesthetic rehabilitation. The plan included replacing the metal-ceramic bridge by a bridge with Zr infrastructure coated with coronary and gingival ceramics. The edentulous area of the first quadrant would be rehabilitated with 2 implants and a bridge of two elements. It was intended with this treatment plan, to recover the vertical dimension of the occlusion and to reshape the dental anatomy, thus creating a more natural aesthetic appearance.

TREATMENT NOTES:
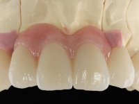
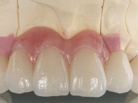
Alginate impressions were made at both arches arcades, accompanied by intermaxillary registration relations and collecting information with facial bow facial bow. In the laboratory, a provisional bridge with 13 elements in autopolymerizable acrylic was built, in which a metallic reinforcement was included. Teeth 1.7 / 1.4 / 1.3 / 2.2 / 2.3 / 2.4 and 2.6 were used as pillars. The metal-ceramic bridge was removed after performing longitudinal cuts with diamond burs. The dental abutments were reprepared and the temporary bridge was relined in the mouth with self-curing acrylic. After confection of the provisional bridge, a gingival epithesis was made using composite resin with gingival tonality in order to function as a mock-up, which allowed the patient to preview the possibility of using gingiva shade ceramics in the final work. This option was approved by the patient. Subsequently, the placement of two implants in the first quadrant was planned and executed. The provisional monoblock was removed for placement of the implants, and after surgery was again cemented provisionally. After the osseointegration period, the impressions were made to the maxilla. In the anterior zone, impregnated gingival retraction cords were used, and in the posterior areas, kaolin paste was used. Implant printing utilized the open tray technique. The printing material used was soft and regular putty addition silicone, both fast-setting. In the laboratory, the model of provisional restorations and the gingiva epithesis mock-up served as orientation for waxing the infrastructure. The plaster work model and the waxing of the infrastructure were placed in a laboratory scanner and yielded a digital work model, in which the scanning of the waxed infrastructure was superimposed. This overlay facilitated the CAD design of the Zr infrastructure. Subsequently, the CAD drawing for a CAM milling process provided the Zr pieces. The infrastructure was pigmented with a pinkish coloration, which favors the subsequent placement of gum shade ceramic. During the modeling of the infrastructure, the need to increase the occlusal wear on tooth 1.4 was detected. This was done in the real working model cast and an acrylic wear control guide was created, which accompanied the proof of the infrastructures. Corrective wear and Zr parts test were performed in mouth. During the test, the color choice of the gum shade ceramic was reassessed. The treatment was finished in the laboratory, and after approval by the patient, was definitively placed in the mouth.