Case 49: clinical

Go to lab case >

CHIEF COMPLAINT:
The patient placed a dental implant at the age of 20 years to rehabilitate the loss of the left upper central incisor. Four years after the rehabilitation, the patient was dissatisfied with the aesthetic result, noting that "the tooth had become shorter". A new rehabilitation was performed, which for ten years was accepted by the patient from the aesthetic and functional point of view. After this period, the patient manifested the intention of "increasing the size of the tooth again", expressing the opinion that "the tooth had risen again".

DIAGNOSIS:
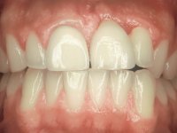
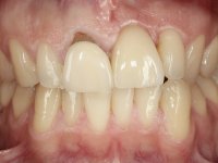
A 38-year-old male, non-smoker. The crown of the implant placed at the site of tooth 2.1, had the incisal edge 1 to 2 mm apical to the edge of the adjacent tooth. The crown was metal-ceramic and was bolted to the implant. It seemed logical to conclude that this situation resulted from the extrusion of adjacent teeth. Implant placement in the patient at age 20 seems to have been precocious, not contemplating a late growth. Interestingly, or perhaps not, fourteen years after placement of the implant and already with the second crown placed, the process of extrusion of the adjacent teeth continued. This extrusion is clearly visible in the tooth's 1.1 root exposition, initially rehabilitated with a metal-ceramic crown. Tooth 1.1 presented a radical endodontic treatment and intra-radicular post. The patient had good oral hygiene.

TREATMENT PLAN:
Originally, a replacement for the patient’s metal-ceramic crown was proposed, with the incisal edge on the same level as the incisal edge of the adjacent tooth. After 10 years, for the same reason, a replacement for the implant crown placed in the 2.1 site was proposed again, but this time including a new crown for tooth 1.1. The patient only wanted to redo the crown on the implant.

TREATMENT NOTES:
Impression for the implant was done with an open tray technique, using silicone of putty and regular consistency. To properly copy the soft tissues an impression was made using an open tray technique using the one-piece transfer screw to secure the crown. A replica screwed to the crown was placed and artificial gingiva was placed before the impression was cast. This sought to copy the emergence profile using the crown. This was at the time the technique used and implied making the working model during the consultation, so that it was possible to return the crown to the patient. A bolted metal infrastructure that has been tried and clinically validated has been built on the work model. After collecting information in the presence of the patient, the ceramist placed the ceramic finishing the work. The work was placed in the mouth after final validation. After 10 years the patient returned to my office expressing an interest in replacing the crown for the same reasons. The patient was also suggested a new crown for tooth 1.1, which was not accepted. Thus, an impression was made with open tray technique in which the transfer piece was individualized. The crown that the patient used, intended to faithfully copy the emergency profile. The crown was screwed to a replica and the assembly was introduced into Putty silicone, the crown was then cured, and the silicone was removed from the replica. The transfer piece was placed in the replica and the emergency profile was filled with composite resin individualizing the transfer piece. After imaging control of the seating of the individual transfer piece, the impression was made using an open tray technique. In this third crown, the process of copying the emergency profile was faster, simpler and more efficient, attesting to the evolution of the technique over time. A new screwed crown was made that aesthetically satisfied the patient. This clinical case is revealing of the changes in position that teeth undergo over the years, and the possible consequences that this can have in rehabilitations with implants. Particular attention should be paid to implants placed in young adults, especially in aesthetic areas.