Case 64: lab

Go to clinical case >

CHIEF COMPLAINT:
Initially, the patient wanted to “strengthen” teeth 17 and 16, which had endodontic treatments and extensive restorations. In a second phase and with a bridge already placed over teeth 17 and 16, the patient complained of an abscess in the apical area of 16.

DIAGNOSIS:
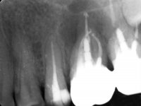
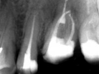
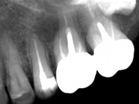
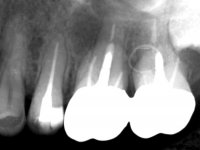
Male patient, 34 years old, non-smoker. Teeth 17 and 16 had extensive restorations with composite resin and placed intra-radicular posts. In the imaging examination, it was found that the endodontic treatment was not technically satisfactory, but had been asymptomatic for several years. The patient was rehabilitated with a 2-element bridge at 17 and 16 and 4 years later an abscess appeared in the apical area of 2.6. It had the 2.8 tooth included with a close relationship with the 2.7 root. During these 4 years there was no positional change of this tooth. After endodontic retreatment of teeth 27 and 26, an abscess appears again in the area of tooth 26, possibly associated with a root fracture. Given the history referred to in relation to tooth 26, it was considered a tooth with indicated extraction.

TREATMENT PLAN:
In a first phase, a 2-element bridge in Zr was proposed. in teeth 17 and 16. When 4 years later, an abscess appeared in tooth 26, the patient was proposed to remove the bridge, remove the intra-radicular posts and perform a retreatment of the endodontic treatments and put the bridge back. It was possible to do what we set out to do, but 1 year after this procedure, with the appearance of a new abscess, the extraction of tooth 26 was proposed. With this extraction, the patient was proposed to make a bridge in Zr. of 3 elements, with teeth 27 and 25 as abutments and 26 as a pontic.

TREATMENT NOTES:
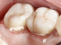
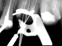
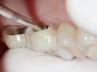
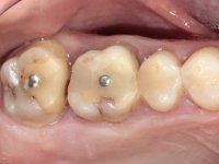
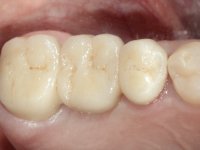
Teeth 17 and 16 were prepared for the fabrication of a 2-element Zr bridge. The impression was performed with a double mixing technique and a monolithic bridge in Zr was made in the laboratory. 4 years later, an abscess appeared in the apical area of tooth 26. It was decided to remove the bridge, remove the intra-radicular posts and retract the endodontic treatments of teeth 17 and 16. The removal of the bridge was carried out by making two cervical cavities. in the palatal area of the bridge and with a microluxator, disinsertion movements were performed. The intra-radicular posts were removed using fine drills and an ultrasound tip. The bridge was provisionally cemented and the patient was referred to a fellow endodontist for endodontic retreatment. After the retreatment, the intraradicular posts were placed again and the bridge was definitively cemented. One year later, a new abscess appears, possibly related to a root fracture. The bridge was sectioned between tooth 27 and 26 and tooth 26 was extracted and the crown of 27 was provisionally cemented. 3 months later, teeth 27 and 25 were prepared and a temporary bridge was made in dual polymerization resin. Then, an impression was made using the double mixing technique and a 3-element bridge in Zr was made in the laboratory. It was permanently cemented in the mouth with resin-reinforced glass ionomer cement.

COLLABORATION:
Endodontic retreatments were performed by Dr. Marco Paquete.



​