Case 65: clinical

Go to lab case >

CHIEF COMPLAINT:
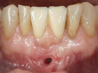
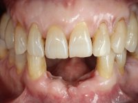
The patient came to the consultation saying that a “hole” had appeared in the gum area next to an implant. He did not report having had pain or any type of swelling.

DIAGNOSIS:
Female patient, 62 years old, smoker. 10 years ago, an implant had been placed in the area of teeth 41 and 42 to rehabilitate the lack of these two teeth with a two-element bridge. After the imaging exam, bone loss was observed next to the implant compatible with peri-implantitis. The buccal bone wall next to the implant showed extensive resorption, with the buccal surface of the implant in contact with the soft tissues and in a certain area a hole allowed the implant to be visualized through the gingival tissue. Teeth 42 and 32 already showed some mobility.

TREATMENT PLAN:
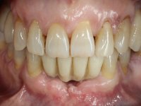
Faced with two possibilities, try to use the implant or remove it, I chose to remove it. Two reasons for this decision, first, the buccal bone loss was very extensive and second, the adjacent teeth had a poor prognosis in the medium term. In this sense, it was proposed to remove the implant, extract teeth 42 and 32, simultaneously place 2 implants in their place and immediately rehabilitate the area with a 4-piece screw-retained temporary bridge. After osseointegration, a 4-element screw-retained bridge would be made with ceramic in a coronal and gingival shade.

TREATMENT NOTES:
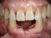
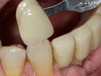
After an imaging study, the placement of two implants of 3.3 mm in diameter and 10 mm in length was planned. On the day of surgery, teeth 42 and 32 were extracted and the implant was removed. The implants were placed in the area of the alveoli, taking care to slightly lingualize their positioning. An impression was made using the open tray technique with the flap open for the fabrication of the immediate provisional bridge. While the impression was taken to the laboratory, tall healing screws were placed and the surgical wound was sutured. The patient waited 2 hours in the waiting room while the temporary bridge was made in the laboratory. An immediate screw-retained provisional bridge was placed and its seating was controlled by imaging. After 3 months, the final impression was made using an open tray technique. In this consultation, we took the opportunity to polish the temporary bridge with rubber cups so that the soft tissues could mature in better conditions. Information was collected to better characterize the monolithic structure in Zr. Color guides were used for the coronal and gingival ceramics. In the laboratory, a bridge was made in Zr. bolt-on that has been carefully characterized. After approval by the patient, it was definitively placed in the mouth. Tightening was performed with a dynamic wrench with a torque of 35 N. The holes were covered with Teflon and filled with composite resin.