Caso 4: laboratório

Ver caso clínico >

MOTIVO DA CONSULTA:
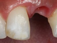
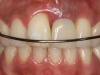
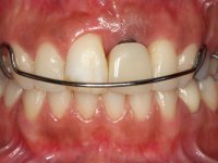
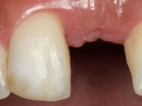
A paciente de sexo feminino de 28 anos de idade perdeu por traumatismo o incisivo central superior esquerdo. Preocupada com o seu sorriso, a paciente apareceu no consultório querendo alinhar os dentes antero-superiores para obter uma aparência mais natural. Sendo fumadora a paciente não apresentava problemas médicos dignos de registo.

DIAGNÓSTICO:
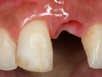
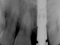
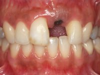
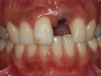
A paciente apresenta um desvio da linha média superior de 6 mm para a esquerda. Resultado da ausência do incisivo central superior esquerdo, os dentes adjacentes inclinaram mesialmente para esta zona, limitando o espaço disponível para a reabilitação prostodontica. Existe uma significativa desarmonia dentária negativa no arco maxilar como resultado da ausência do 21, ausência do primeiro pre-molar com um espaço residual, significativa redução coronária do segundo pre-molar direito, migração dos dentes posteriores para os espaços não preenchidos e uma mesialização molar superior esquerda e direita com uma relação molar em Classe II. Ambos os caninos esquerdo e direito mostram uma relação Classe II na posição de inter-cuspidação máxima. A paciente apresenta uma linha de sorriso média, um biótipo gengival médio grosso, apresenta uma correcta higiene oral sem doença periodontal. Não apresenta hábitos para –funcionais. O exame radiográfico mostra uma significativa inclinação dos eixos dos dentes 11 e 22 com espaço entre a porção apical das raízes. A análise cefalométrica foi feita com o intuito de explorar a hipótese de conseguir arranjar espaço para a colocação de um implante e de uma coroa no local do dente 21. Finalmente a morfologia do osso residual presente na região anterior da maxila foi avaliado com uma TAC, revelando uma perda das dimensões da parede óssea vestibular.

PLANO DE TRATAMENTO:
Tendo em conta a relação de Classe II molar e canina, o plano de tratamento contemplou a seguinte abordagem multidisciplinar:

1) Extracção do 2º pre-molar superior direito,

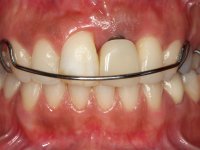
2) Tratamento ortodôntico com o objectivo de criar espaço entre as raízes e as coroas dos dentes 11 e 22,

3) Colocação de um implante no espaço criado na zona do 21 associada a uma regeneração óssea guiada da zona,

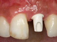
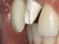
4) Reabilitar prostodonticamente o implante com um coto de oxido de zirconio e uma coroa de cerâmica vítrea prensada de dissilicato de lítio no sentido de obter o resultado estético pretendido.

NOTAS DA COLABORAÇÃO”MÉDICO-DENTISTA & TÉCNICO DE PRÓTESE DENTÁRIA”:
Com um pouco de prática e destreza, a anatomia de um único dente anterior pode ser reproduzida com relativa facilidade desde que os modelos nos forneçam informação detalhada dos dentes adjacentes. Em contraste a determinação e reprodução da cor/shade dentária é um assunto complexo e difícil, em que pequenos desvios podem ter impacto grande no sucesso do trabalho. Existem duas formas válidas para os dentistas comunicarem com o laboratório a informação relacionada com a cor/shade :1) Ou o dentista envia essa informação por meio de fotografia dentária digital, 2) Ou o paciente desloca-se ao laboratório dentário para que o técnico possa elaborar um esquema de estratificação. É importante ressalvar que um bom protocolo de estratificação, é só um primeiro passo na criação de uma restauração estética e não garante a sua “perfeita” implementação.

As fotografias são uma importante ferramenta neste tipo de procedimento. No sentido de utilizá-las convenientemente, as seguintes condições devem ser reunidas:

1 – A dentição remanescente deve estar completamente húmida

2 – A superfície vestibular do dente de referência deve estar ao mesmo nível que o dente natural

3 – A designação da cor na tabela de cores deve estar claramente visível

4 – Extensas áreas de reflexo, tanto na superfície do dente natural, como na guia de cor, reduzem o valor informativo da fotografia e por isso devem ser evitados

As fotografias digitais simplificam a identificação das diferentes cores/shades do dente natural. A precisa recolha da cor/shade só se consegue se o paciente visitar o laboratório dentário. No caso presente, a necessidade da paciente vir ao laboratório foi discutida com o Dr. Couto Viana. A paciente percebeu a situação e, apesar da grande distância entre o Porto e Barcelona, deslocou-se ao laboratório dentário.

Os cotos de óxido de zircónio são dos assuntos mais debatidos em implantologia. A sua resistência à fractura, as conexões externas e internas, a interacção entre o parafuso de retenção e o coto – todos estes assuntos são abordados repetidamente. No entanto, todos parecem concordar que os cotos de óxido de zircónio apresentam resultados altamente previsíveis, especialmente na restauração de dentes anteriores. Outro argumento em favor dos cotos de óxido de zircónio é a alta biocompatibilidade do material.

A comparação entre o óxido de zircónio e o dissilicato de lítio mostra que o último pode sofrer ataque ácido e ser silanizado e assim ser preparado para uma cimentação adesiva. Uma dica: no sentido de criar no coto de óxido de zircónio uma superfície susceptível de ser gravada pelo ácido, a superfície a ser colada pode ser recoberta com uma fina camada de cerâmica de adesão antes de modelar a coroa. Para este propósito, a ceram Zirliner é aplicada primeiro, depois aplica-se uma camada de ceram de dentina profunda na tonalidade desejada. Como resultado, a cor da dentina ilumina a restauração a partir do seu interior e cria a possibilidade de ser aplicado um protocolo de cimentação adesiva.

Para a confecção de coroas unitárias, o dissilicato de lítio é o meu material de eleição (August Bruguera). Devido à sua alta resistência à flexão e às suas propriedades estéticas, este material oferece as melhores opções. 

As cerâmicas prensadas podem ser realizadas, com técnica de maquiagem, técnica de cut-back ou técnica de estratificação. As coroas estratificadas têm a vantagem de poderem fazer uma mimetização da cor mais individualizada. No entanto, mesmo que seja utilizado um esquema de estratificação simples, o leque de pigmentos disponíveis fornece suficientes possibilidades de mimetizar na coroa, a cor/shade dos dentes adjacentes.

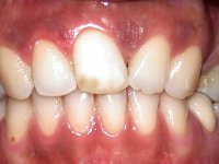
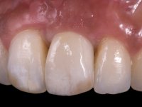
O ajuste final da cor/shade da restauração directamente em boca têm grande importância no sucesso do tratamento. Qualquer alteração necessária pode ser realizada nesta fase. As tonalidades de dentina e incisais foram aplicadas em conjunto de acordo com o esquema de estratificação visando a sua caracterização individualizada, mas ainda não foi aplicada a camada de superfície que dá translucidez á restauração. Este facto, permite que possíveis deficiências na cor/shade possam ser corrigidas removendo porções de cerâmica que apresentem tonalidades indesejadas. O brilho/brightness da primeira camada não deve ser muito baixo, porque pode fazer com que a restauração apresente um aspecto acinzentado. Esta situação pode ser contornada utilizando uma pastilha um pouco mais clara do que a cor/shade que se pretende para o resultado final.

Neste caso a paciente foi vista no laboratório, o que tornou possível estabelecer o correcto nível de saturação da cor e brilho. Quando a construção da cerâmica estava optimamente ajustada em termos de cor/shade, os componentes da translucidez puderam ser finalmente acrescentados. Nesta fase foi também completada a anatomia e a textura superficial de acordo com a informação dada pelos detalhes reproduzidos no modelo. A caracterização com tonalidades e essências no ciclo final de cozedura é fundamental, permitindo um ajuste fino da caracterização.

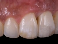
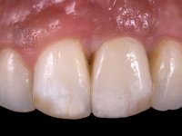
A confecção de um coto de óxido de zircónio com uma coroa de cerâmica vítrea prensada de dissilicato de lítio mimetizou perfeitamente os dentes vizinhos.

PROCEDIMENTOS ORTODONTICOS:
Teresa Pinho , DMD, Phd.

PROCEDIMENTOS CIRURGICOS:
Manuel Neves, DMD

CERAMISTA:
August Bruguera,CDT

PUBLICAÇÃO: August Bruguera, Pedro Couto Viana: Rehabilitation with implant-borne anterior reconstructions using IPS e.max Press and the Straumann Anatomic IPS e.max Abutment.REFLECT 03, 2010.