Caso 5: laboratório

Ver caso clínico >

MOTIVO DA CONSULTA:
Substituir a prótese total removível por uma prótese implanto - suportada.

DIAGNÓSTICO:
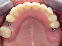
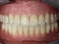
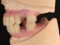
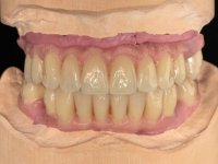
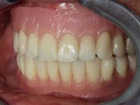
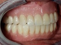
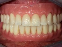
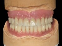
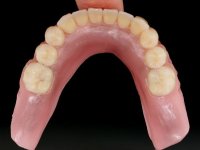
Paciente do sexo masculino, com 80 anos não fumador. Apresentou-se na consulta com quatro implantes colocados no maxilar inferior e quatro colocados no superior. A colocação dos implantes apresenta-se capaz sob o ponto de vista prostodontico. O paciente utilizava provisoriamente uma prótese total acrílica removível rebasada com acondicionador de tecidos. O paciente sem a prótese apresenta uma significativa falta de apoio dos lábios, quer superior quer o inferior.

NOTAS DA COLABORAÇÃO” MÉDICO DENTISTA & TÉCNICO DE PRÓTESE DENTÁRIA”:
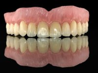
Após observação conjunta do caso, decidimos realizar uma reabilitação com duas próteses esqueléticas implanto – suportadas retidas por barras fresadas. Esta decisão resulta duma elevada expectativa do paciente em relação á retenção bem como a sua forte capacidade mastigatória. Os modelos de trabalho foram obtidos através de uma impressão com moldeira aberta. As placas base com as ceras de articulação foram realizadas incorporando porta implantes com uma ranhura adaptada o que permitiu fixar as placas em boca, facilitando a recolha dos registos inter-maxilares. Os dentes foram montados nessas placas e novamente foi feita a sua validação estética e funcional em boca, tendo a grande vantagem de ser aparafusada. Essa prova de dentes deu origem a duas muralhas de silicone que orientaram a confecção das barras fresadas. As barras foram verificadas em boca quer clinica quer radiologicamente e em seguida foi feita uma impressão de arrasto com moldeiras individuais com top`s nas selas o que permitiu fazer impressões funcionais dos tecidos moles. Seguidamente foram realizadas as estruturas metálicas das próteses esqueléticas que depois de acabadas receberam a montagem dos dentes de acordo com a muralha de silicone feita sobre a prova de dentes. As estruturas metálicas com os dentes em cera montados foram validados em boca estética e funcionalmente e um registo inter - maxilar com um silicone de mordida permitiu recolher informação para a realização de pequenos acertos oclusais. Finalmente o trabalho foi acrilizado e devidamente acabado.