Caso 6: laboratório

Ver caso clínico >

MOTIVO DA CONSULTA:
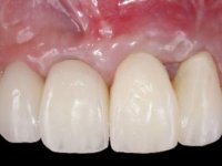
A paciente não estava satisfeita com a estética.

DIAGNÓSTICO:
Paciente do sexo feminino, com cinquenta e dois anos de idade, não fumadora. Portadora de uma ponte metalo-cerâmica de 5 elementos sobre 3 implantes no 1º quadrante e uma ponte também metalo-cerâmica de 5 elementos sobre os dentes pilares 2.1, 2.2, 2.3 e 2.5. Apresenta ligeira exposição do implante colocado no local do dente 1.1 e exposição radicular significativa das raízes dos dentes 2.1 e 2.2. No maxilar inferior apresenta falta dos dentes 4.6 e 3.6 e o dente 4.7 apresenta-se inclinado mesialmente.

PLANO DE TRATAMENTO:
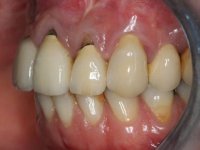
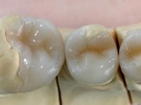
Decidi reabilitar a paciente substituindo no maxilar superior as já antigas pontes metalo-cerâmicas, procurando simultaneamente eliminar as exposições radiculares. Foi considerado prioritário aumentar o volume dos tecidos moles que recobriam os dentes 2.1, 2.2 e 2.3 e se possível recobrir o mais possível as raízes expostas. A partir desta intervenção realizar-se-ia uma reabilitação convencional com pontes de cerâmica com infra estruturas em zircónio sobre os pilares dentários re-preparados e sobre os implantes. No maxilar inferior optei por reabilitar a ausência do 3.6 com a colocação de um implante e de uma coroa aparafusada. No 4º quadrante apostei na colocação de três overlays em cerâmica nos dentes 4.7, 4.5 e 4.4 fechando o espaço correspondente á ausência do 4.6.

NOTAS DA COLABORAÇÃO “MÉDICO-DENTISTA & TÉCNICO DE PRÓTESE DENTÁRIA”:
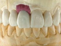
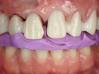
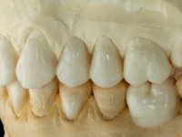
Após observação clinica conjunta, Médico e Técnico, decidiu-se iniciar a parte laboratorial com a obtenção de modelos de estudo, registo com arco facial e informação precisa das relações inter-maxilares. Note-se que esta recolha foi feita dez semanas após a intervenção cirúrgica periodontal que visou aumentar o volume dos tecidos moles no sector antero-superior e diminuir as exposições radiculares dos dentes 2.1 e 2.2. Montados em articulador semi- ajustável, os modelos foram preparados e encerados, dando lugar a um enceramento de diagnóstico que foi partilhado e comentado em conjunto com o clínico. Aprovado por ambos, esse enceramento serviu de base, através de uma muralha de silicone, á confecção de duas pontes provisórias para o maxilar superior. A do 1º quadrante aparafusada e a do 2º quadrante para ser rebasada em boca. No maxilar inferior foi confeccionada uma chave de silicone translucido para ajudar à confecção da ponte provisória do 4º quadrante. As pontes provisórias foram colocadas em boca após remoção as pontes metalo-cerâmicas procurando trabalhar a arquitectura dos tecidos moles bem como ensaiar o conceito estético preconizado no enceramento de diagnóstico. Foi realizada uma impressão por técnica de moldeira aberta, sobre o implante do 3º quadrante que entretanto tinha sido colocado. A coroa aparafusada que foi confeccionada apresentava uma infra-estrutura em zircónio que foi desenhada de forma a criar um apoio adicional à cerâmica nas superfícies inter-proximais. Após colocação da coroa sobre o implante foram feitas as impressões definitivas no maxilar superior e inferior utilizando uma técnica de dupla mistura com afastamento gengival de fio único. Obtidos os modelos de trabalho foram realizados overlays cerâmicos nos dentes 4.7, 4.5 e 4.4.Na confecção das infra-estruturas de zirconio do maxilar superior com tecnologia CAD-CAM, foi fundamental a utilização digital do enceramento de diagnóstico. Os overlays cerâmicos do 4º quadrante foram colados na mesma sessão em que foram provadas as infra-estruturas de zircónio. As pontes provisórias foram removidas separadamente aproveitando a possibilidade para fazer o registo inter-maxilar da relação oclusa que a paciente tolerou com o uso das pontes provisórias. No início dessa sessão, foi feito um cuidadoso levantamento da cor evitando a desidratação das peças dentárias após a colagem. Na sessão em que foi realizada a prova de cerâmica o técnico estando presente registou na própria cerâmica as alterações a fazer principalmente a nível anatómico. A reabilitação definitiva colocada em boca, mostrou-se integrada estética e funcionalmente satisfazendo as expectativas da paciente.