MOTIVO DA CONSULTA:
Substituição de uma prótese combinada, no maxilar superior, por uma reabilitação totalmente fixa.
DIAGNÓSTICO:
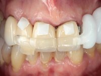
Paciente do sexo feminino, com 69 anos, não fumadora. Apresenta uma prótese combinada no maxilar superior. A porção fixa corresponde a uma ponte metalo-cerâmica de 4 elementos com os dentes 1.3/1.1 e 2.1 como pilares e o dente 1.2 como pôntico. A porção amovível corresponde a uma prótese esquelética de 5 elementos. A retenção da prótese esquelética é feita por um gancho no dente 1.4 e um “attachment tipo t” colocado no dente 2.1.
PLANO DE TRATAMENTO:
A reabilitação proposta, consistia na colocação de uma ponte metalo-cerâmica implanto-suportada no 2º quadrante, evitando-se a prótese esquelética. Após a realização do estudo imagiológico, seria decidido definitivamente, o número e localização dos implantes a colocar. A paciente não mostrou interesse na substituição da ponte metalo-cerâmica antero-superior.
NOTAS DO TRATAMENTO:
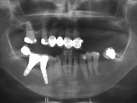
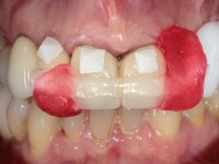
O estudo imagiológico para a colocação dos implantes, começou com a realização em laboratório de uma guia com dentes em sulfato de bário. Esta guia foi colocada em boca conjuntamente com marcas de referência coladas aos dentes, também em sulfato de bário. A guia foi estabilizada com cera mole. A TAC foi realizada com estas referências colocadas em boca. Após a realização da TAC foi feita uma impressão de arrasto em silicone. Esta impressão foi vazada a gesso em laboratório e posteriormente digitalizada. A digitalização do modelo com as referências foi sobreposta á imagem da TAC, permitindo uma planificação apurada na colocação dos implantes. Na planificação foi decidido colocar 2 implantes no local dos dentes 2.3 e 2.4 evitando-se a zona do 2.2 com pouco osso e o seio maxilar. Este estudo deu origem a uma guia cirúrgica que orientou a colocação dos implantes. Durante o período de osteo-integração a paciente utilizou a prótese removível rebasada com acondicionador de tecidos. A guia cirúrgica mostrou-se também útil na exposição dos implantes mostrando a sua localização precisa e orientando a incisão. A impressão definitiva foi realizada utilizando a técnica de moldeira aberta após eliminação do attachment. No laboratório foi confeccionada uma ponte metalo-cerâmica de 3 elementos com o elemento 2.2 em suspensão. A ponte após verificação e aprovação foi cimentada. A reabilitação apesar de pouco extensa (sem o elemento 2.6) mostrou-se capaz estetica e funcionalmente.