Caso 13: clínica

Ver caso laboratorial >

MOTIVO DA CONSULTA:
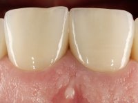
O paciente não gostava do aspeto “artificial” dos seus dentes.

DIAGNÓSTICO:
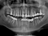
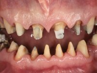
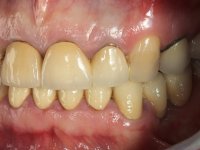
Paciente do sexo masculino, com 42 anos de idade, não fumador. Apresentava uma reabilitação metalo -cerâmica feita há mais de 10 anos com exposições radiculares e infiltrações. No maxilar superior apresentava uma coroa no 1.1,uma ponte de dois elementos no 2.1 e 2.2.e uma ponte de 4 elementos nos dentes 2.4,2.5,2.6 e 2.7 com o 2.6 como pôntico. Os dentes 1.6/1.5/1.4/1.3/1.2/1.1/2.1/2.2/2.3/2.4/2.5 e 2.7 apresentam tratamento endodôntico radical com o 2.4/2.5 e 2.7 a necessitarem de ser refeitos. No maxilar inferior apresentava uma ponte metalo-cerâmica de 4 elementos nos 4 incisivos e uma ponte de 3 elementos (3.3 e 3.4) com um dente supranumerário como pôntico. Os dentes 4.6/4.5 e 4.2 apresentavam tratamento endodôntico com o 4.2 a necessitar de ser refeito. Os dentes 4.3 e 4.4 apresentavam extensas cáries linguais com algum comprometimento mesial. As peças protéticas apresentavam-se infiltradas com exposição radicular associada. Apresentava uma D.V.O. diminuída e uma mordida cruzada lado direito. O paciente tinha uma satisfatória saúde periodontal e uma boa higiene oral.

PLANO DE TRATAMENTO:
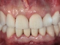
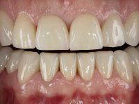
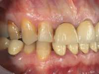
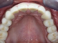
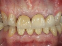
Foi proposto ao paciente fazer uma reabilitação total com infraestruturas em zircónia revestidas a cerâmica. No maxilar superior, seriam realizadas 6 coroas (1.3/1.2/1.1/2.1/2.2/2.3), uma ponte de 3 elementos (1.4/1.5/1.6) e uma ponte de 4 elementos (2.4/2.5/2.6 e 2.7). No maxilar inferior, foram propostas 7 coroas (4.3/4.2/4.1/3.1/3.2/3.5 /3.6) e duas pontes (4.4//4.5/4.6) e (3.3/3.4#/3.4).O objetivo seria subir a D.V.O., descruzar a mordida do lado direito, eliminar as infiltrações e as exposições radiculares e reabilitar o paciente com estruturas protéticas com aspeto mais natural.

NOTAS DO TRATAMENTO:
A primeira acção terapêutica foi tentar melhorar o tratamento endodôntico dos dentes (2.4/2.5/4.2)). A sua manutenção em boca seria condicionada pelo sucesso desta intervenção. Seguidamente foram feitas impressões em alginato e registo inter-maxilar em silicone para confeção em laboratório de uma ponte provisória em acrílico com reforço. O objetivo desta ponte provisória seria ensaiar o aumento da D.V.O. e descruzar a mordida do lado direito. Foi utilizado um monobloco de 13 dentes com o dente 2.6 com o pôntico. As coroas e as pontes foram removidas e os remanescentes coronários foram repreparados. A ponte provisória foi rebasada primeiramente com acrílico auto-polimerizável e de seguida com resina composta. Após 2 semanas de permanência em boca, foram feitas as impressões para confeção da ponte provisória inferior também realizada em laboratório. Especial cuidado foi colocado na remoção das coroas antigas, sendo feito primeiramente um corte axial que permitiu que fossem removidas de uma forma menos traumática. A temporização foi feita durante 8 semanas, permitindo que os tecidos gengivais estabilizassem posicionalmente. As impressões definitivas foram realizadas após afastamento gengival utilizando a técnica do fio único impregnado. Foi utilizada a técnica de dupla mistura com dupla viscosidade (putty soft e light).Simultaneamente foi realizada a recolha das relações inter-maxilares e o registo com arco facial. Foram confecçionados os modelos de trabalho e feita a sua correta montagem em articulador semi-ajustável. Em seguida foram feitas infra estruturas em zircónia que posteriormente foram revestidas por cerâmica. A prova de “biscoito” foi realizada em boca para avaliação estética e funcional sendo também avaliado o seu assentamento e ajuste. A reabilitação definitiva foi cimentada em boca utilizando um cimento de ionómero de vidro reforçado por resina.