Caso 17: clínica

Ver caso laboratorial >

MOTIVO DA CONSULTA:
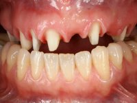
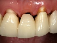
A paciente não gostava que os “dentes superiores estivessem recuados” e queria ter “dentes fixos”.

DIAGNÓSTICO:
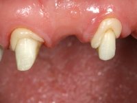
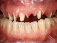
Paciente do sexo feminino, com 47 anos, não fumadora e portadora de uma prótese parcial removível esquelética superior. Os dentes 1.8/1.7/1.6/1.4/2.1/2.3/2.6 e 2.8 encontravam-se ausentes. Os dentes 1.5/1.3/1.2/1.1/2.2/2.4 e 2.5 apresentavam tratamento endodôntico, postes intra-radiculares e restaurações extensas. Apresentava boa saúde gengival e bons hábitos de higiene oral. A paciente apresentava uma Classe III e as zonas edentulas do maxilar superior eram compatíveis com a colocação de implantes. 

PLANO DE TRATAMENTO:
Após análise clínica e imagiológica foi proposto á paciente reabilitar o maxilar superior fazendo:

  •  Ponte de 4 elementos com infra - estrutura em Zr, recoberta a cerâmica, com os dentes 1.5/1.3 e 1.2 como pilares e o dente 1.4 como pôntico.
  •  Ponte de 6 elementos com infra – estrutura em Zr, recoberta a cerâmica, com os dentes 1.1/2.2/2.4/ e 2.5 como pilares e os dentes 2.1 e 2.3 como pônticos.
  •  Colocação de dois implantes, um no local do dente 1.6 e outro no local do dente 2.6. Reabilitação dos implantes com duas coroas aparafusadas.

Com a reabilitação proposta, também seria tentada a correção prostodontica da classe III, desde que aprovada esteticamente pela paciente após um “Mock-up” prévio.

NOTAS DE TRATAMENTO:
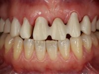
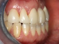
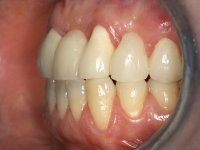
Feitas as impressões iniciais, os modelos de estudo montados em articulador semi-ajustável, deram origem a um enceramento de diagnóstico. Este enceramento procurou simular a reabilitação desejada. Foi tentada desta forma a correcçaõ da Classe III. Baseado neste enceramento foi feita uma chave de silicone “Putty” que serviria para realizar o “ Mock-up”. O “ Mock-up” foi realizado com resina composta de polimerização “dual”, após a remoção dos excessos, acabamentos e polimento, a paciente avaliou o impacto estético da reabilitação proposta. Esta proposta foi aceite pela paciente com muito agrado. Assim foi realizada no laboratório a ponte provisória em acrílico auto-polimerizável com inclusão de um reforço. A ponte provisória consistiu num monobloco de 10 elementos. Após a preparação dentária a provisória foi rebasada em boca, primeiro com acrílico auto-polimerizável e em seguida com resina composta. Após 8 semanas em boca, para aprovação estética e funcional e acondicionamento dos tecidos moles, a ponte provisória foi removida e feita a impressão definitiva. Foi utilizada a técnica de dupla impressão com tripla viscosidade. Em laboratório a impressão deu origem a uma modelo de trabalho que foi “scaneado”. A “scanerização” do modelo encerado foi sobreposta á scanerização do modelo de trabalho para que as infra-estruturas realizadas por técnica de CAD-CAM fossem realizadas em coerência com a situação proposta inicialmente. Obtiveram-se 2 peças em Zr, uma com 4 elementos e outra com 6 elementos. Estas infra–estruturas foram testadas e aprovadas clinicamente. Regressadas ao laboratório, estas estruturas, de acordo com o enceramento inicial foram revestidas a cerâmica voltando á clinica para serem colocadas definitivamente. Um mês após a colocação do trabalho foram colocados dois implantes, um no local do dente 1.6 e outro no local do dente 2.6. Com dois meses de osteointegração foi feita a “scanerização” dos implantes, diretamente em boca. Esta “scanerização” deu origem a duas coroas aparafusadas sobre os implantes seguindo um “work flow” completamente virtual. Finalmente as coroas foram colocadas em boca terminando a reabilitação do maxilar superior da paciente.