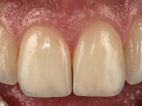
Caso 18: clínica

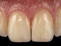
Ver caso laboratorial >

MOTIVO DA CONSULTA:
A paciente apresentava uma restauração a resina composta no incisivo central superior esquerdo que não gostava esteticamente e que fraturava com frequência.

DIAGNÓSTICO:
Paciente do sexo feminino, com 27 anos, não fumadora, apresentava uma restauração com resina composta tipo “Classe IV”, no angulo mesial do dente 2.1. A restauração não satisfazia esteticamente e fraturava com frequência. O bordo incisal do incisivo central direito e o remanescente natural do incisivo central esquerdo apresentava uma caracterização bastante marcada. Várias áreas de translucidez que tornariam a reabilitação bastante exigente sobre o ponto de vista técnico e estético. Na área da fratura não havia dentina exposta. A paciente gostava que a reabilitação tivesse uma abordagem o mais conservadora possível.

PLANO DE TRATAMENTO:
Foram propostas á paciente duas opções terapêuticas:

  •  • Realização de uma restauração com resina composta.

  •  • Realização de uma micro restauração em cerâmica feldespática utilizando essencialmente a superfície palatina como zona retentiva.
     

Depois de elucidada sobre as vantagens e desvantagens de cada tratamento, a paciente decidiu-se pela micro restauração em cerâmica.

NOTAS DE TRATAMENTO:
Realizou-se uma pré impressão em silicone para posteriormente ser feita uma restauração provisória em resina composta de polimerização “dual”. Seguidamente foi removida toda a restauração e realizado o preparo dentário. Este preparo consistiu na planificação do angulo dentário e na preparação ligeira da superfície palatina. A superfície palatina foi preparada para um assentamento sem interferências. Foi realizada uma impressão com dupla mistura e dupla viscosidade e de seguida foi feita uma restauração provisória em resina de polimerização “dual” sem qualquer tipo de adesão. Em laboratório, realizado o modelo de trabalho foi confecionada uma micro restauração de cerâmica feldespática. Essa peça de cerâmica utilizou essencialmente a superfície palatina mesial e o angulo incisal para se estabilizar. Na superfície vestibular a peça de cerâmica sobrepunha-se á superfície vestibular dentária em cerca de 2mm. Na clínica, a restauração provisória foi removida. A superfície dentária foi devidamente preparada e a micro restauração cerâmica depois de devidamente acondicionada foi colada no dente somente com adesivo. A superfície de cerâmica que sobrepunha a superfície dentária vestibular foi cuidadosamente eliminada. Para isso foi sendo feito o seu polimento de forma progressiva com discos e pontas de borracha.