Caso 27: clínica

Ver caso laboratorial >

MOTIVO DA CONSULTA:
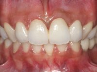
A paciente mostrou particular interesse em melhorar o seu aspeto estético.

DIAGNÓSTICO:
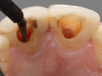
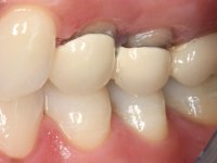
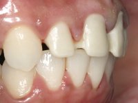
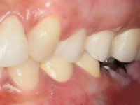
Paciente do sexo feminino, com 44 anos de idade, fumadora. No primeiro quadrante apresentava uma ponte metalo-cerâmica de três elementos com os dentes 1.4 e 1.5 como pilares e o 1.6 como pôntico distal. Os dentes pilares tinham tratamento endodôntico a necessitar de ser refeito. Os quatro dentes incisivos superiores tinham restaurações extensas em resina, o dente 2.1 tinha tratamento endodôntico e os restantes apresentavam processos apicais. No segundo quadrante apresentava uma ponte metalo-cerâmica sobre os dois pré-molares com tratamento endodôntico. O dente 2.6 estava ausente e o 2.7 tinha tratamento endodôntico. No maxilar inferior o terceiro quadrante apresentava-se com a ausência dos dentes 3.6 e 3.7 e os dentes 3.4 e 3.5 eram pilares de uma ponte metalo-cerâmica de dois elementos. Estes pilares apresentavam tratamento endodôntico com patologia apical. Os tecidos moles apresentavam-se ligeiramente inflamados no sector antero-superior e a arquitetura gengival mostrava os corredores laterais a necessitar de um aumento estético de coroa clínica. A paciente mostrava uma boa higiene oral.

PLANO DE TRATAMENTO:
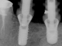
Feita a análise clínica e imagiológica, os modelos de estudo montados em articulador semi-ajustável foram analisados em conjunto com o técnico de prótese. Foi proposto à paciente fazer o tratamento endodôntico dos dentes 1.2, 1.1 e 2.2 e refazer o tratamento endodôntico dos dentes 1.4, 2.1, 2.4, 2.5 e 2.7. No primeiro quadrante foi proposta a extração do dente 1.5 e o aumento estético da coroa clínica do 1.4. Em seguida seriam colocados dois implantes (1.6 e 1.5) que suportariam uma ponte metalo-cerâmica aparafusada sobre os implantes e cimentada sobre o dente 1.4. No setor antero-superior, após colocação de postes de fibra, foi proposta a confeção de uma ponte de quatro elementos em Zr-cerâmica. No segundo quadrante, após refeitas as endodontias, seriam colocados postes metálicos e em seguida confecionada uma ponte Zr-cerâmica de 3 elementos. No maxilar inferior, no terceiro quadrante, os dentes 3.4 e 3.5 seriam extraídos e seriam colocados três implantes para fixar uma ponte de Zr-cerâmica de 4 elementos. Passados 6 anos da realização deste plano de tratamento, a paciente, por motivos estéticos, quis alterar a morfologia e cor dos dentes caninos superiores. Nesse sentido foi-lhe proposto colocar duas facetas de cerâmica feldespática, sem preparação dentária. Sendo minimamente invasivo, seria preservada a superfície palatina com a sua funcionalidade.

NOTAS DO TRATAMENTO:
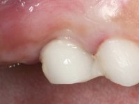
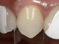
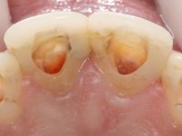
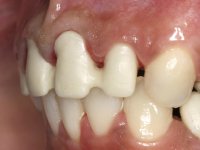
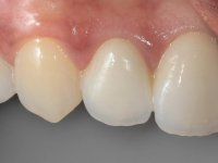
Após refazer o tratamento endodôntico no 2.1 e efectuá-lo no 1.2, 1.1 e 2.2, foram colocados postes intra-radiculares de fibra de vidro. No segundo quadrante foram refeitas as endodontias e colocados postes intra-radiculares metálicos. Foram confecionadas em laboratório duas pontes provisórias em acrílico, uma com quatro elementos (1.2/1.1, 2.1, 2.2) e outra de três elementos (2.4, 2.5 e 2.7). Após preparo dentário dos quatro incisivos e remoção da ponte do 2 quadrante, as pontes provisórias foram rebasadas em boca. No segundo quadrante também foi feito previamente um alongamento coronário estético. No maxilar inferior foram colocados dois implantes no espaço edêntulo. Após oito semanas foi colocada uma ponte provisória aparafusada de quatro elementos com os dentes 3.4 e 3.5 em extensão. O dente 3.5 foi extraído e a ponte provisória foi colocada em boca, aparafusada sobre os implantes e apoiada no implante colocado no local do 3.4. No primeiro quadrante foi extraído o dente 1.5 e foram colocados dois implantes nos locais 1.6 e 1.5. A ponte metalo-cerâmica foi removida e colocada uma ponte provisória com dois elementos (1.4 como pilar e 1.5 como pôntico). Após osteointegração dos implantes e maturação dos tecidos moles, foram feitas as impressões. Estas deram origem aos modelos de trabalho onde foram confecionadas as pré-infraestruturas em plástico, para serem testadas em boca. Foi detetado um desajuste na zona vestibular dos incisivos superiores. A pré–infraestrutura de plástico foi rebasada com resina composta após afastamento gengival com pasta de caulino. Em seguida foi feita uma impressão de arrasto com técnica de dupla mistura. Após correção do desajuste, foram confecionadas as infraestruturas e colocada a cerâmica. A prova de cerâmica foi feita em boca, sendo aprovada clinicamente. Finalizado o trabalho, foi colocado em boca após aprovação estética da paciente. Após seis anos de presença em boca este tratamento foi completado com a colocação de duas facetas feldespáticas tipo “No Prep” nos caninos superiores. A escolha da cor foi feita com o apoio de guias de cor individualizadas. Após a colocação de fio de afastamento gengival, foi feita uma impressão pela técnica de dupla mistura. As facetas foram realizadas sobre um modelo “Tipo Geller” com torqueis de cor personalizada. As facetas foram coladas em boca com isolamento relativo.