Caso 28: clínica

Ver caso laboratorial >

MOTIVO DA CONSULTA:
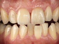
O paciente queria “ter os dentes do mesmo tamanho e que não se notassem as restaurações”.

DIAGNÓSTICO:
Paciente de 38 anos, sexo masculino, não fumador. Apresentava os dois incisivos centrais superiores com extensas restaurações em resina. O dente 1.2 apresentava uma restauração classe IV, o dente 1.1 apresentava toda a superfície coronária revestida por resina e o dente 2.1 tinha uma restauração classe III. Era notória uma assimetria na morfologia e na dimensão dos centrais. Os dentes apresentavam-se vitais. Paciente com boa saúde gengival e bons hábitos de higiene.

PLANO DE TRATAMENTO:
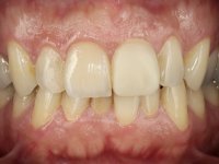
Foi proposta a realização de uma coroa total em cerâmica feldespática no dente 1.1 e uma faceta feldespática tipo “No Prep” no dente 2.1. Após o acidente sofrido foi proposta a colocação de uma faceta feldespática de inserção vertical no dente 2.1.

NOTAS DE TRATAMENTO:
Foi feito o preparo dentário do dente 1.1 para a colocação de uma coroa total feldespática. O preparo consistiu na remoção da resina composta e confeção de uma linha de acabamento cervical em chanfro. No dente 2.1, praticamente não foi feito qualquer preparo dentário, sendo apenas criada alguma rugosidade na superfície vestibular e inter-proximal mesial. Após o preparo dentário, foi feita uma impressão por técnica de dupla mistura, que deu origem a um modelo de trabalho “Tipo Geller”. A coroa e a faceta foram confecionadas e posteriormente coladas em boca. A colagem iniciou-se pela coroa utilizando-se um isolamento relativo. Após a colagem da coroa foi feita a colocação do dique de borracha para colagem da faceta. Após dois anos o paciente sofreu um traumatismo, no qual fraturou a faceta colocada no dente 2.1. No sentido de resolver a situação foi feito um preparo dentário no dente 2.1 para colocação de uma faceta feldespática de inserção vertical. Previamente foi realizada uma chave de silicone para orientar a confeção da nova faceta. Esta nova faceta foi colada em boca após colocação do isolamento absoluto. Apesar do acidente sofrido, o paciente conseguiu resolver o problema dentro das soluções minimamente invasivas.