Caso 29: laboratório

Ver caso clínico >

MOTIVO DA CONSULTA:
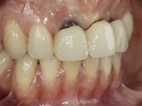
A paciente queria colocar uma “coroa” sobre o implante que lhe tinha sido colocado, para “substituir o dente da frente”.

DIAGNÓSTICO:
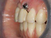
Paciente do sexo feminino, com 30 anos de idade, não fumadora. A paciente surge na consulta após tratamento ortodôntico e colocação de um implante no local do dente 2.1. Apresentava os dentes 3.7, 3.6 e 4.7 com tratamento endodôntico e os dentes 1.5, 2.5, 2.6 e 4.5 com restaurações extensas. Apresentava um periodonto fino e mostrava uma higiene oral satisfatória. Após exposição cirúrgica do implante este mostrou-se posicionado de forma inadequada. A reabilitação protética do implante mostrou-se impossível adotando critérios estéticos aceitáveis. A paciente durante 6 anos andou com uma coroa provisória de acrílico sobre um coto aparafusado como solução de recurso já que não aceitou a proposta de remover o implante. Após este tempo surge na consulta com um abcesso no dente 1.1. Analisada a situação constatou-se que os dentes 1.1 e 2.2 tinham extração indicada e o implante deveria ser removido ou submergido.

PLANO DE TRATAMENTO:
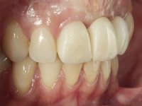
Na fase inicial, foi proposto à paciente fazer a exposição cirúrgica do implante e após avaliação clínica tomar decisões protéticas. Colocado o parafuso de cicatrização e feita a cicatrização dos tecidos moles, foi constatada uma posição inadequada do implante. Perante o dramatismo da situação foi proposto à paciente a remoção do implante e após regeneração tecidular colocar um novo implante. Esta proposta foi recusada pela paciente e foi sugerido por esta a reabilitação provisória do implante. Nesse sentido foi então feita nova proposta, desta feita, reabilitando o implante. Foi sugerido a confeção de um coto aparafusado e sobre este a colocação de uma coroa de acrílico com componente coronário e gengival. Passados 6 anos com o tratamento provisório a paciente surge na consulta com um abcesso no dente 1.1. Feita a análise clínica e imagiológica decidiu-se extrair os dentes 1.1 e 2.2, submergir o implante, colocar dois implantes no local dos 1.1 e 2.2 e fazer regeneração tecidular adequada. A temporização seria feita com uma ponte provisória de 3 elementos aderida com uma rede aos dentes vizinhos. Após osteointegração seria reabilitada definitivamente com uma ponte de 3 elementos, com infraestrutura de Zr revestida a cerâmica.

NOTAS DA COLABORAÇÃO ”MÉDICO DENTISTA & TÉCNICO DE PRÓTESE DENTÁRIA”:
A exposição cirúrgica do implante e a colocação do parafuso de cicatrização mostrou-se uma surpresa negativa no que diz respeito à sua posição. Rejeitada a proposta de remoção do implante, avançamos para a sua reabilitação provisória. Foi feita a impressão por técnica de moldeira aberta e em laboratório foi confecionado um coto aparafusado com componente gengival e coronário e uma coroa em acrílico também com estes dois componentes. A coroa provisória foi colocada em boca até ser tomada uma decisão definitiva. Passaram 6 anos até que a paciente retorna à consulta com um abcesso no dente 1.1. Tomada a decisão de extrair os dentes 1.1 e 2.2 foi feita uma impressão para confecionar uma ponte provisória de 3 elementos com uma rede para ser aderida aos dentes adjacentes. A cirurgia foi planificada e realizada, colocando-se os dois implantes no local do 1.1 e 2.2 e o implante no local do 2.1 foi cortado com o objetivo de o submergir, simultaneamente foi feita a regeneração tecidular adequada (Trabalho Cirúrgico realizado por Dr. Manuel Neves). Durante a osteointegração a paciente utilizou a ponte provisória fixa. Foi realizada primeira impressão para a confeção de uma ponte provisória aparafusada em Zr que trabalhou durante 12 semanas os tecidos moles. A impressão definitiva foi feita com a individualização dos transferes. A reabilitação definitiva foi feita com cotos ceramizados e com uma ponte de infraestrutura em Zr revestida por cerâmica. Em virtude da inclinação do implante colocado no local do dente 1.1 a ponte exigiu fixação cimentada.