Caso 30: laboratório

Ver caso clínico >

MOTIVO DA CONSULTA:
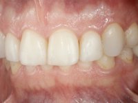
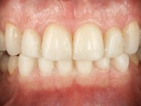
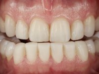
O paciente “estava sempre a partir os dentes da frente e gostaria de melhorar o aspeto estético”.

DIAGNÓSTICO:
Paciente do sexo masculino, com 36 anos, não fumador. Fez tratamento ortodôntico e reabilitou esteticamente o sector anterior com restaurações em resina composta. As restaurações apresentavam um aumento vertical médio de 2 mm em relação o bordo incisal. Apresentavam-se esteticamente satisfatórias, mas com algumas fraturas incisais. O dente 1.5 apresentava um processo apical e o dente 2.6 apresentava tratamento endodôntico e uma lesão endo-periodontal. No maxilar inferior no local do dente 3.5 apresentava um implante com uma coroa aparafusada e o dente 8.5 ainda estava presente em boca com agenesia do dente 4.5. O paciente apresentava uma ligeira perda da dimensão vertical da oclusão provavelmente associada a um visível desgaste das superfícies oclusais. O periodonto era espesso e apresentava uma excelente higiene oral.  

PLANO DE TRATAMENTO:
Após análise clínica e imagiológica foi proposto ao paciente recuperar a dimensão vertical da oclusão essencialmente à custa de incrementos oclusais inferiores utilizando “overlays” no sector posterior e facetas no sector anterior. A coroa aparafusada sobre o implante 3.5 seria substituída, no sentido de acompanhar este incremento. Na maxila o dente 2.6 teria extração indicada e posteriormente seria reabilitado com um implante e respetiva coroa. No sentido de reabilitar esteticamente o paciente duma forma minimamente invasiva, foi proposta a colocação de facetas feldespáticas no sector antero-superior. O objetivo de aumentar ligeiramente a D.V.O., teria como função “proteger” eficazmente o sector antero-superior.

NOTAS DA COLABORAÇÃO ”MÉDICO DENTISTA & TÉCNICO DE PRÓTESE DENTÁRIA”:
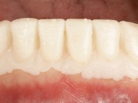
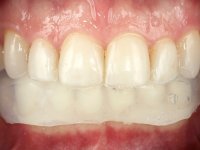
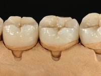
Realizado o diagnóstico e tomada a decisão quanto ao tratamento a executar, tornou-se importante definir qual a sequência de trabalho a adotar no sentido de conseguir a reabilitação da D.V.O. (V.D.O), de forma progressiva e equilibrada. Na primeira fase fez-se uma pré-impressão da arcada inferior com silicone tipo “putty” e em seguida realizou-se o preparo dentário de todo o sector posterior. O preparo para os overlays foi feito coronalmente à linha amelo cementaria no sentido de ser o mais conservador possível. A impressão foi feita com técnica de dupla mistura após afastamento gengival realizado com pasta de caulino. A provisória foi realizada com resina composta de polimerização dual. Em laboratório foram realizados os overlays após se ter aberto ligeiramente (1,5mm) a D.V.O. nos modelos montados em articulador semi-ajustável. Simultaneamente o sector antero-inferior foi encerado no sentido de acompanhar este aumento da D.V.O. Também foi confecionada uma chave de silicone translucido para posterior confeção dos provisórios antero-inferiores. Em boca foi primeiro realizada a provisionalização dos dentes anteriores utilizando resina composta previamente aquecida após preparação das superfícies dentárias para a adesão. Foi colocado o dique de borracha para promover o isolamento absoluto e posteriormente foram colados os overlays. Em laboratório foi realizada nova chave de silicone para confecionar os provisórios antero-superiores. Seguidamente em boca foram preparados os seis dentes antero-superiores após colocação do fio de afastamento gengival. Feita a preparação adequada das superfícies dentárias foi realizada a impressão com técnica de dupla mistura e a respetiva provisória. Em laboratório foram confecionadas 6 facetas feldespáticas num modelo de trabalho tipo “Geller”. A provisória foi removida e as facetas foram coladas em boca utilizando um isolamento relativo competente. Esta opção foi tomada em virtude de uma prévia experiencia negativa com a colocação do dique de borracha na mandibula. Após a colagem dos laminados antero-superiores foram dadas 12 semanas para avaliar a adaptação do paciente à nova situação e então iniciar a confeção das facetas antero-inferiores. Após colocação do fio de afastamento gengival. foram feitos os preparos dentários adequados e em seguida foi feita a impressão. Também foi feita a preparação do dente 3.4 que, entretanto, tinha sofrido uma fratura do overlay. As facetas e a restauração do 3.4 foram realizadas num modelo de trabalho tipo “Geller”. Após remoção da provisória, as facetas foram coladas em boca, utilizando um isolamento relativo pelas razões apontadas anteriormente. Após colocação do trabalho o paciente foi reabilitado por outros colegas com um implante na zona do 2.6 e substituição da coroa aparafusada sobre o implante colocado no local do 3.5. Posteriormente surgiram fraturas nos overlays dos dentes 4.7 e 3.7 que foram reabilitados com overlays em Zr.