Caso 46: laboratório

Ver caso clínico >

MOTIVO DA CONSULTA:
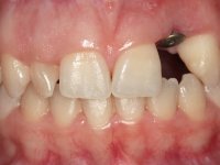
A paciente queria “colocar o dente no implante”. Após tratamento ortodôntico e colocação de um implante no local do dente 2.2 a paciente foi referenciada para a reabilitação do implante colocado.

DIAGNÓSTICO:
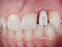
Paciente do sexo feminino, com 24 anos de idade, não fumadora. A situação clínica resultou de um tratamento ortodôntico realizado com o intuito de resolver um problema de agenesia unilateral do incisivo lateral esquerdo. Após correção ortodôntica foi colocado um implante no local do dente 2.2. Durante o período de osteointegração a paciente usou uma contenção amovível com um dente de prótese. Analisada a situação registei os seguintes condicionantes estéticos:

1. O nível cervical dos dentes 1.3, 1.2 e 1.1 estão a um nível mais incisal do que os dentes 2.1 e 2.3.
2. As papilas por distal do 2.1 e mesial do 2.3 desapareceram.
3. Ligeira exposição radicular em distal do 2.1 e mesial do 2.3.
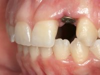
4. Espaço edentulo correspondente ao 2.2 alto e estreito.
5. Dente 1.2 com microdontia e rodado.

A paciente apresenta uma higiene oral razoável.

PLANO DE TRATAMENTO:
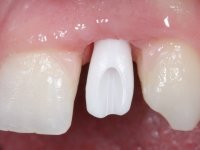
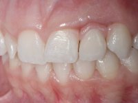
Antes de elaborado o plano de tratamento foi explicado á paciente a dificuldade técnica que teria para reabilitar esteticamente o implante. Após longa troca de opiniões com o técnico de prótese foi apresentado um plano de tratamento pouco convencional que teria como propósito diminuir ao máximo a assimetria estética entre o lado esquerdo e direito e entre os níveis cervical e incisal. Foi proposta a realização de duas facetas em resina composta de tonalidade gengival para reabilitar as papilas interdentárias do espaço edentulo. Sobre o implante foi proposto um abutment aparafusado em Zr com componente coronário e gengival. Como a angulação do implante colocaria o acesso ao parafuso por vestibular, foi proposta a confeção de uma faceta feldespática que seria colada ao abutment camuflando o orifício de acesso ao parafuso. No dente 1.2 seria colada uma faceta feldespática para corrigir a microdontia e a pequena rotação.

NOTAS DA COLABORAÇÃO “MÉDICO DENTISTA & TÉCNICO DE PRÓTESE DENTÁRIA”:
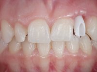
Foi feita uma impressão ao implante com técnica de moldeira aberta utilizando silicone de consistência putty soft e regular. No laboratório, após a confeção do modelo de trabalho foi feito um enceramento de diagnóstico que procurou encontrar uma solução estética de compromisso. Nesse sentido foi utilizada uma peça provisória aparafusada sobre o implante para simular as dificuldades que teríamos com o aparafusamento do trabalho definitivo. Esse abutment de estudo era composto por cera a reproduzir tecidos moles e duros, procurando antecipar a utilização de cerâmica de tonalidade gengival e coronária. Foram também enceradas parte das papilas interproximais correspondentes á porção distal do dente 2.1 e mesial do dente 2.3 antecipando a utilização de “chips” de resina composta de tonalidade gengival. Por último foi encerada uma faceta para correção da microdontia do dente 1.2. Neste enceramento foi notória a emergência vestibular do orifício de acesso ao parafuso do abutment implantar. Aceite esta opção terapêutica foi confecionado o abutment implantar em resina composta polimerizada laboratorialmente bem como os “chips” papilares também em resina composta de tonalidade gengival. Depois de experimentados em boca o abutment foi aparafusado e os “chips” colados. O orifício de acesso do parafuso foi obturado com resina composta. Numa consulta posterior foi realizada uma gengivectomia no contorno cervical dos dentes 1.3, 1.2 e 1.1 com o objetivo de corrigir a assimetria entre o primeiro e segundo quadrante. Cicatrizados os tecidos moles, também foi efetuado um branqueamento dentário ambulatório por desejo estético da paciente. A impressão final sobre o implante foi feita utilizando a técnica de moldeira aberta com silicone, tendo o cuidado de individualizar a peça de transferência copiando o perfil de emergência do abutment provisório. No laboratório a impressão deu origem a um modelo de trabalho definitivo no qual sobre uma peça de encaixe em plástico foi encerado um abutment. Este processo foi realizado com a orientação de uma muralha de silicone baseada no enceramento de diagnóstico. O encerado realizado sobre a peça de plástico foi colocado num suporte especial que permitiu a sua digitalização num “scanner” laboratorial. Sobre esta digitalização por um processo CAD foi desenhado um abutment em Zr. que por um processo CAM foi posteriormente materializado. O abutment em Zr. foi provado em boca validando-se o seu assentamento quer clinico quer imagiológico. Nessa consulta foi feito a escolha da cor pelo ceramista quer da cerâmica coronária quer da cerâmica de tonalidade gengival a utilizar. Foram utilizadas escalas de cor individualizadas. No laboratório foi colocada a cerâmica coronária e gengival sobre o abutment implantar e posteriormente, sobre um modelo de trabalho com gesso refratário foi confecionada uma faceta de cerâmica feldespática. Esta faceta foi confecionada sobre uma superfície especialmente desenhada para este efeito no coto implantar. Esta superfície procurou reproduzir um preparo dentário realizado para o mesmo efeito. Em boca o abutment foi aparafusado com torque de 35N, o orifício de acesso ao parafuso foi preenchido com teflon e posteriormente foi obturado com resina composta. A faceta foi colada sobre o coto implantar utilizando a técnica de colagem convencional, com isolamento relativo. Por questões económicas a paciente não avançou para a realização da faceta no dente 1.2. Apesar de desde o início do tratamento antecipar uma situação de compromisso com limitações estéticas óbvias, obtivemos um resultado que satisfez a paciente.

PUBLICAÇÃO:
The papillary veneers concept: an option for solving compromised dental situations
Couto Viana P.
Correia A.
Kovacs A.
J Am Dent Assoc 2012; 143(12): 1313-1361