Caso 48: laboratório

Ver caso clínico >

MOTIVO DA CONSULTA:
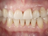
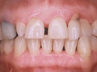
A paciente queixava-se que tinha um dente da frente a abanar, não gostava do “canino escuro” e também “queria fechar os espaços entre os dentes”. Passados 8 anos do tratamento inicial, o que motivou uma segunda fase de tratamento foi os “dois dentes da frente estarem feios”. Um ano após a última intervenção, apareceu um terceiro motivo para a terceira fase de tratamento, que foi a fratura da faceta feldspática colocada no dente 2.1.

DIAGNÓSTICO:
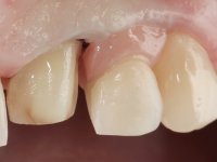
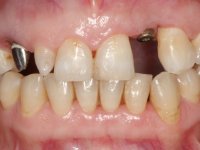
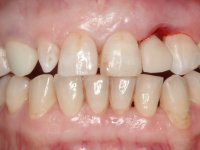
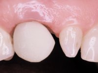
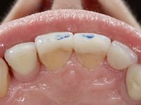
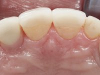
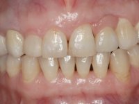
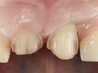
Paciente do sexo feminino, com 47 anos não fumadora. Apresentou-se na consulta com o dente 1.3 com tratamento endodôntico e com um espigão falso coto fundido, reabilitado com uma coroa provisória. Os dois incisivos laterais superiores são conoides e de reduzida dimensão. O dente 2.2 apresenta mobilidade, consentânea com uma significativa reabsorção óssea entre o dente 2.1 e o dente 2.3 Os dois incisivos centrais estão separados por um diastema de 3mm e o dente 2.3 apresenta uma oclusão cruzada com o dente antagonista. Verifica-se também a ausência de alguns dentes posteriores e uma higiene oral razoável. Na segunda intervenção realizada passados 8 anos, verificou-se que os incisivos centrais superiores se apresentavam cromaticamente mais escuros e apresentavam um sulco longitudinal no esmalte que estando pigmentado comprometia esteticamente o sorriso. O trabalho realizado na primeira fase do tratamento mostrava-se competente estética e funcionalmente. Por fim, um ano após a última intervenção, a paciente apresentou-se com uma fratura da faceta colocada no dente 2.1 provavelmente em resultado de estar em contacto com o coto do implante. A rigidez da anquilose implantar, pode ter sido a causa desta fratura. Outros casos deste tipo de fratura já foram observados por mim em situações clínicas idênticas. A faceta do dente 1.2 apresentava-se esteticamente comprometida e a própria estrutura dentária apresentava uma pequena cárie e, pelo que se recomendaria a sua substituição.

PLANO DE TRATAMENTO:
Depois da avaliação clínica e imagiológica, foi proposto á paciente o seguinte tratamento:
• Reabilitação do espigão falso coto fundido com uma coroa com infra-estrutura em Zr revestida a cerâmica.
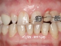
• Tratamento ortodôntico para fechar diastema entre os dentes incisivos centrais superiores e fazer a tração lenta do dente 2.2.
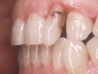
• Colocação de um Implante no local do dente 2.2. Reabilitação do implante com um “abutment” de componente coronário e gengival. em que o orifício de acesso ao parafuso fosse “camuflado” com uma faceta feldspática.
• Reabilitação do dente conoide 1.2 com uma faceta feldspática.

Oito anos depois, na segunda intervenção, foi proposto o seguinte tratamento:
• Reabitação dos dentes Incisivos Centrais Superiores com facetas de cerâmica feldspática.

1 ano depois, na terceira intervenção, foi proposto o seguinte tratamento:
• Confeção e colagem de uma nova faceta feldspática para substituir a fraturada. A nova faceta deverá incluir maior área dentária inter-proximal distal do dente 2.1.
• Substituir a faceta do dente 1.2 por uma coroa total em cerâmica feldspática ou por uma, agora denominada, faceta 360.

NOTAS DA COLABORAÇÃO “MÉDICO DENTISTA & TÉCNICO DE PRÓTESE DENTÁRIA”:
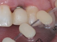
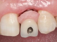
O tratamento iniciou-se com a re -preparação do coto do espigão falso coto fundido, com o objetivo de colocar as linhas de acabamento cervical com uma localização intra-sulcular e simultaneamente confecionar uma coroa provisória adaptada. Com um tratamento ortodôntico muito simples, fechou-se o diastema entre os incisivos centrais superiores e estabilizou-se esta posição com um arame colocado na superfície palatina dos centrais, funcionando como contenção. Posteriormente procurou-se fazer uma tração ortodôntica lenta do dente 2.2 com o intuito de diminuir, ainda que muito ligeiramente a perda óssea vertical nessa zona. Finalizada a tração, foi feita a extração do dente 2.2 e a zona foi reabilitada provisoriamente com uma coroa de resina composta colada aos dentes adjacentes. Foi colocado um implante dentário na zona do dente 2.2 sendo novamente colada a coroa provisória em resina, reabilitando provisoriamente a paciente durante o período de osseointegração. No dente 1.3 foi feita uma gengivectomia com bisturi elétrico, com a intenção de subir o nível cervical do 1.3 conseguindo uma maior harmonia com o dente 2.3. Estabilizados os tecidos moles, foi feita uma impressão com a técnica de moldeira aberta, utilizando silicones de adição de consistência “putty” e “light”. A recolha da cor, tanto da componente dentária como dos tecidos moles foi feita pelo ceramista no consultório.  No laboratório as impressões foram passadas a gesso e deram origem a modelos de trabalho que foram devidamente analisados. Foi decidido confecionar um “abutment” metalo-cerâmico aparafusado sobre o implante. Este “abutment” foi fundido com uma liga nobre e posteriormente revestido a cerâmica coronária e gengival. Dada a inclinação do implante o aparafusamento condicionou de forma inevitável a saída do orifício do parafuso pela superfície vestibular. No sentido de esconder esta situação, o desenho do “abutment” já foi idealizado com a intenção de acomodar na superfície vestibular a colagem de uma faceta feldspática. Este “abutment” foi provado em boca e foram feitos ajustes no componente cerâmico gengival. A sua adaptação aos tecidos moles foi feita tanto de forma subtrativa, com broca, como de forma aditiva, acrescentando resina composta de tonalidade gengival. Este acrescento de resina seria orientador do ceramista na colocação final da cerâmica de tonalidade gengival. A coroa que reabilitaria o dente 1.3 foi cimentada nesta consulta de prova com cimento de ionómero de vidro reforçado com resina composta. Finalizado o trabalho em laboratório da faceta sobre o 1.2 e o “abutment” e a faceta para o implante este foi colado em boca, após a colocação do isolamento absoluto. O trabalho satisfez plenamente a paciente. Durante oito anos a paciente foi seguida regularmente, mostrando-se agradada com o tratamento efetuado, no entanto começou a mostrar interesse em intervir esteticamente nos incisivos centrais superiores. Decidida a segunda fase da nossa intervenção, foi feita a preparação dentária dos dentes 1.1 e 2.1 para a colocação de duas facetas feldspáticas. Particular cuidado foi tido na preparação inter-proximal distal junto ao “abutment” do implante. Foi preciso avaliar muito pormenorizadamente o eixo de inserção da faceta em relação ao “abutment”. As facetas feldspáticas foram confecionadas em laboratório e posteriormente coladas em boca após a colocação de isolamento absoluto. Um ano após, iniciamos a nossa terceira fase de tratamento, após a faceta colada no dente 2.1 ter fraturado. A preparação dentária foi feita sobre a faceta colada, procurando estender mais para palatino o interface inter-proximal distal. O objetivo seria passar para mais palatino do ponto de contacto o interface faceta-dente. O preparo dentário do dente 1.2 também foi muito reduzido, limitando-se a criar um eixo de inserção. Após confecionadas a coroa total e a faceta em laboratório foram coladas em boca. Primeiro foi colada a coroa utilizando-se um isolamento relativo com teflon, posteriormente foi colada a faceta após a colocação do isolamento absoluto. Na coroa utilizei este tipo de isolamento para evitar a utilização de grampos. Seria difícil de aplicar pela forma e dimensão do dente e agressivo para os tecidos moles. Após a colagem foi avaliada a integração oclusal do trabalho.