Caso 52: laboratório

Ver caso clínico >

MOTIVO DA CONSULTA:
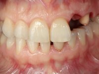
A paciente surgiu na consulta com dor no incisivo lateral superior direito acompanhada de uma tumefação vestibular. Referiu que já tinha a “zona inchada há várias semanas, mas a dor aguda tinha surgido há poucos dias”. A paciente também mostrou desagrado com a aparência estética do dente.

DIAGNÓSTICO:
Paciente do sexo feminino, com 47 anos de idade, não fumadora. Apresentava uma tumefação vestibular na zona do dente 2.2, dor à percussão no dente e notório escurecimento da coroa dentária. Feito o exame imagiológico identificou-se uma reabsorção radicular com lesão peri-apical. Os dentes 2.3 e 2.4 apresentavam tratamento endodôntico. Em termos oclusais observou-se uma forte prematuridade do dente 2.2 com o dente 3.3 consentânea com uma extrusão dos dentes 3.3,3.4 e 3.5 em relação ao plano oclusal. A paciente apresenta um fenótipo gengival grosso e boa higiene oral. Tem hábitos para funcionais marcados, bruxismo diurno e noturno.

PLANO DE TRATAMENTO:
Foi proposta a extração do dente 2.2 e o reforço do dente 2.4, com poste intra-radicular para a posterior reabilitação com uma ponte de 3 elementos. A ponte teria os dentes 2.3 e 2.4 como pilares e o 2.2 como pôntico. A ponte teria cerâmica de tonalidade gengival nas zonas cervical e inter-proximal do 2.2 para compensar a reabsorção tecidular resultante da extração. O objetivo desta reabilitação era evitar a colocação de um implante no local do 2.2. Sendo este espaço estreito em termos mesio-distais, pretendia evitar complicações estéticas resultantes da quase inevitável perda das papilas interdentárias. A paciente foi portadora desta reabilitação durante 8 anos, acabando por fraturar a ponte. Iniciou-se então a segunda fase da reabilitação, sendo proposta a colocação de um implante no local do 2.2 e a posterior colocação de uma ponte de 3 elementos, aparafusada sobre o implante e cimentada sobre os dentes 2.3 e 2.4. A ponte teria também cerâmica de tonalidade gengival na zona do dente 2.2 com o objetivo inicial.

NOTAS DO TRATAMENTO:
Primeira Fase.
Foi confecionada uma ponte provisória de laboratório em acrílico auto -polimerizável de 3 elementos com os dentes 2.3 e 2.4 como pilares e o dente2.2 como pôntico. Os dentes pilares foram preparados, o dente 2.2 foi extraído e a ponte provisória foi rebaseada em boca com acrílico auto- polimerizável. Depois dos tecidos estarem completamente cicatrizados, sobre a ponte provisória, foi colocada resina composta de tonalidade gengival com o objetivo simular a reabilitação final. Esta maquete permitiu à paciente visualizar o que se pretendia, permitindo a sua avaliação prévia. A paciente entendeu o propósito e mostrou-se agradada com a solução. Foi escolhida a cor da cerâmica de tonalidade gengival e coronária com guias apropriadas. Aconselha-se a fazer esta escolha antes da recolha da impressão para não alterar a tonalidade dos tecidos moles. A impressão foi feita com técnica de dupla mistura com dupla viscosidade. No laboratório sobre o modelo de trabalho foi confecionada uma infraestrutura em Zr. Esta infraestrutura foi avaliada em boca e após aprovação foi revestida com cerâmica de tonalidade gengival e coronária. A paciente aprovou esteticamente o trabalho final sendo cimentado definitivamente com cimento de ionómero de vidro reforçado com resina. Após 5 anos a ponte descimentou, sendo cimentada novamente após a substituição do poste no dente 2.4. Após 8 anos da sua colocação, a ponte fraturou ao nível do dente 2.3. O fragmento foi colado e iniciou-se a planificação da colocação dum implante no local do dente 2.2.

Segunda Fase
Foi realizado um CT-Scan para planificar a colocação do implante e simultânea mente foi confecionado em laboratório uma ponte provisória de 3 elementos em acrílico já com um componente gengival na zona cervical do dente 2.2. Esta ponte provisória tem incluído um reforço metálico. A ponte fraturada foi retirada e foi colocado um implante de 3.3 mm de diâmetro e 12 mm de comprimento. A ponte foi rebaseada em boca com acrílico auto-polimerizável. Após 3 meses foi feita a impressão com técnica de moldeira aberta, com silicone de duas viscosidades e de presa rápida. O afastamento gengival dos dentes pilares foi feito com Caolino. A escolha da cor das cerâmicas de tonalidade gengival e coronária foi feita com guias adequadas. No laboratório foi confecionada uma ponte com infraestrutura em Zr, aparafusada sobre o implante com cerâmica de tonalidade gengival na zona cervical do dente 2.2. Após aprovação pela paciente, foi colocada em boca. O aparafusamento sobre o implante é feito durante o tempo de endurecimento do cimento de ionómero de vidro reforçado com resina. Foi confecionada e devidamente ajustada uma goteira de relaxamento noturno.