Caso 53: laboratório

Ver caso clínico >

MOTIVO DA CONSULTA:
A paciente “gostava de ter dentes fixos bonitos e tirar a prótese superior”.

DIAGNÓSTICO:
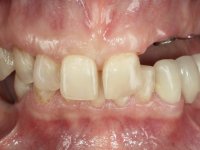
Paciente do sexo feminino com 60 anos, não fumadora. No maxilar superior observa-se a falta dos dentes 2.2,2.3,2.4,2.5,2.6 e 2.7. Os dentes apresentam restaurações em resina composta muito extensas e infiltradas. Todos os dentes mostram acentuado desgaste oclusal e palatino. A paciente usa uma prótese removível acrílica superior bastante desadaptada. No maxilar inferior observa-se a falta dos dentes 3.6,3.7, 4.5,4.6 e 4.7. O dente 4.4 apresenta-se com um tratamento endodôntico sofrível e no terceiro quadrante, tem uma ponte metalo -cerâmica de 3 elementos, como o dente 3.3 e o 3.5 como pilares e o dente 3.4 como pôntico. O dente 3.5 tem um tratamento endodôntico sofrível e um poste intra-radicular colocado. Os incisivos inferiores apresentam restaurações com resina composta. A paciente não usa qualquer prótese removível no maxilar inferior. A análise da ortopantomografia, mostra algum património ósseo no segundo quadrante, sendo necessário um CT-Scan para uma avaliação mais precisa para a possível colocação de implantes. A paciente tem um fenótipo gengival médio e uma boa higiene oral.

PLANO DE TRATAMENTO:
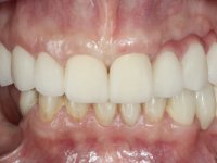
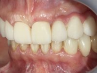
Foi proposta a reabilitação do maxilar superior com 12 elementos fixos, divididos em dois blocos distintos. Uma ponte fixa de 7 elementos com os dentes 1.6,1.5,1.4,1.3,1.2,1.1 e 2.1 como pilares e outra ponte fixa com os elementos 2.2,2.3,2.4,2.5 e 2.6 implanto-suportada. Esta ponte seria aparafusada sobre 3 implantes colocados nos locais dos dentes 2.3, 2.5 e 2.6. A paciente também foi informada da possibilidade de ter que usar uma cerâmica de tonalidade na ponte implanto-suportada por razões estéticas. Os dentes remanescentes seriam submetidos a um tratamento endodôntico e posteriormente reconstruídos com postes intra radiculares e resina composta de polimerização dual. A cirurgia implantar seria realizada com o auxílio da técnica de cirurgia guiada. No maxilar inferior foi proposta a reabilitação do sector anterior com facetas de cerâmica feldspática nos dentes 4.3,4.2,4.1,3.1, e 3.2 Foi proposta a substituição da ponte do terceiro quadrante por uma nova ponte com uma infraestrutura em Zr Revestida a cerâmica. Foi proposto o retratamento do tratamento endodôntico do dente 4.4 e confeção de uma coroa total. Finalmente a zona desdentada seria reabilitada com a colocação de 2 implantes nos locais dos dentes 4.6 e 4.7 e um implante no local do dente 3.6. Posteriormente a reabilitação protética dos implantes seria com uma ponte aparafusada de 2 elementos no 4.6 e 4.7 e uma coroa aparafusada no implante colocado no 3.6.

NOTAS DO TRATAMENTO:
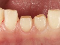
Foram feitas fotos de frente e perfil à paciente bem como foi recolhida a relação inter-maxilar com o arco facial. Foram feitas impressões em silicone para confeção dos modelos de estudo. Estes modelos corretamente montados em articulador semi-ajustável foram analisados em conjunto com o técnico de prótese. Após decisão conjunta sobre a opção terapêutica foi feito o enceramento de diagnóstico. Foi confecionada uma ponte provisória de 3 elementos em acrílico no terceiro quadrante e o setor antero-inferior também foi encerado. Sobe esse enceramento foi confecionada uma chave e silicone com uma abertura oclusal para controlo do assentamento. Essa chave de silicone foi carregada com resina composta fluida e depois dos dentes vaselinados foi assente em boca. Após a polimerização da resina foram removidos os excessos fazendo uma maquete em boca baseada no enceramento de diagnóstico. A paciente, com a maquete colocada em boca pode visualizar a nossa proposta de tratamento de forma concreta, podendo antecipar o trabalho final. A proposta foi aprovada. Nessa mesma consulta, a paciente com a maquete em boca foi fazer um CT-Scan. O CT-Scan foi introduzido num programa de planificação virtual no qual foram planificados a colocação de 3 implantes no segundo quadrante, nos locai dos dentes 2.2,2,5 e 2.6. Essa planificação deu origem à confeção de uma guia cirúrgica. A guia cirúrgica foi experimentada em boca, verificando-se o seu correto assentamento. No dia da cirurgia implantar, foi feita uma cirurgia guiada com auxílio da guia cirúrgica, colocando-se os implantes de acordo com o planificado. A prótese removível acrílica foi rebaseada em boca com acondicionador de tecidos. Duas semanas após, foi feita a remodelação do sector antero-inferior com resinas compostas, utilizando uma chave de silicone translucido feita sobre o enceramento de diagnóstico. Após correta preparação dentária foi feita a colocação de resinas. Nessa mesma consulta foi substituída a ponte do terceiro quadrante pela nova ponte provisória, ficando nessa consulta corrigido provisoriamente o maxilar inferior de acordo com o enceramento de diagnóstico. Um mês após foi realizado o tratamento endodôntico dos dentes 1.6,1.5,1.4,1.3,1.2,1.1 e 2.1. Na semana seguinte foram colocados postes intra-radiculares e reconstruídos com resinas compostas de polimerização dual. Nessa consulta a guia cirúrgica foi utilizada para localizar os implantes e realizar a segunda fase cirúrgica com a colocação dos parafusos de cicatrização. Duas semanas após, foi feita uma impressão do maxilar superior sobre os implantes e sobre os dentes restaurados para a confeção de uma ponte provisória de 7 elementos sobre os dentes e outra de 5 elementos aparafusada aos 3 implantes. As pontes provisórias foram confecionadas em laboratório a partir do enceramento de diagnóstico. Foi também confecionada uma chave de silicone que permitiria reposicionar a ponte provisória sobre os dentes durante o rebaseamento. Os dentes foram preparados e a ponte foi rebaseada com acrílico auto-polimerizável. Dois meses depois foi feita a impressão definitiva com técnica de moldeira aberta. O afastamento gengival na impressão dos dentes preparados foi feito com caolino. No laboratório foram preparados os modelos de trabalho e utilizando uma técnica de CAD-CAM, foram confecionadas 2 infraestruturas em Zr, baseadas no enceramento de diagnóstico. Uma infraestrutura para uma ponte de 7 elementos e outra infraestrutura de 5 elementos para aparafusar aos implantes. As infraestruturas em Zr Foram testadas em boca e posteriormente foram revestidas a cerâmica. O trabalho final depois de aprovado pela paciente, foi cimentado sobre os dentes com cimento de ionómero de vidro reforçado com resina e aparafusado sobre os implantes. A ponte do terceiro quadrante também foi cimentada. Por motivos inesperados a paciente não prossegui com o tratamento preconizado inicialmente, sendo reabilitado o maxilar inferior com uma prótese removível esquelética. Dois anos após a colocação do trabalho a paciente recorreu novamente à clínica para fechar um diastema que urgiu entre a ponte fixa sobre os dentes e a ponte sobre os implantes, na transição entre os dentes 2.1 e 2.2. A ponte aparafusada sobre os implantes foi retirada e colocada a ponte provisória que a paciente já tinha utilizado. Em 24 horas foi acrescentada cerâmica de baixa fusão na superfície mesial do dente 2.2 fechando o diastema.

COLABORAÇÃO:
Os tratamentos endodônticos foram realizados pelo Dr. Marco Paquete. A planificação da cirurgia guiada foi feita em conjunto com o Dr. Ivo Teixeira Lopes. A guia cirúrgica foi planeada pelo Dr. Pedro Macedo.