Caso 54: laboratório

Ver caso clínico >

MOTIVO DA CONSULTA:
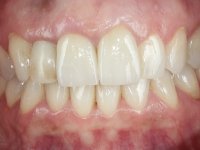
A paciente não gostava da aparência do sector anterior. Não estava satisfeita com as coroas antigas que reabilitavam os incisivos centrais superiores. Gostava também que fossem reabilitados dois implantes que tinham sido colocados no quarto quadrante. A paciente também queria colocar “um dente fixo” no local do 2.5 que tinha sido extraído.

DIAGNÓSTICO:
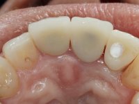
Paciente do sexo feminino, com 56 anos de idade, não fumadora. Os dentes 1.1 e 2.1 apresentavam-se com tratamento endodôntico e espigões falsos cotos fundidos. As coroas metalo-cerâmicas que os reabilitavam apresentavam as margens cervicais expostas e infiltradas. Tinha um implante colocado no local do dente 1.2 com uma coroa cimentada. No 4º quadrante estavam colocados dois implantes no local dos dentes 4.6 e 4.7, já com os parafusos de cicatrização colocados. No 2º quadrante os dentes 2.4 e 2.6 apresentavam tratamento endodôntico e o 2.6 tinha uma coroa metalo-cerâmica infiltrada. O periodonto apresentava-se genericamente saudável, com exceção da gengiva marginal junto das coroas infiltradas. Boa higiene oral.

PLANO DE TRATAMENTO:
Sobre os implantes colocados no 4º quadrante foi proposta a reabilitação com uma ponte de 2 elementos aparafusada. No setor anterior foi proposta a substituição das coroas sobre os centrais bem como a substituição da coroa sobre o implante. No 2º quadrante optamos pela confeção de uma ponte de 3 elementos com os dentes 2.6 e 2.4 como pilares e o dente 2.5 como pôntico. Esta opção prevaleceu sobre a colocação de um implante no local do 2.5 porque os dentes 2.4 e 2.6 tinham tratamento endodôntico e não se apresentavam esteticamente satisfatórios.

NOTAS DO TRATAMENTO:
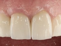
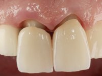
Decidimos começar pela reabilitação dos implantes do 4º quadrante fazendo uma impressão pela técnica de moldeira aberta, com silicone de duas viscosidades e presa rápida. No laboratório foi confecionada uma ponte aparafusada sobre implantes. Após verificação do correto ajuste em boca, foi apertada definitivamente em boca e os orifícios de acesso obturados. Na substituição das coroas dos incisivos centrais, começamos por fazer uma pré-impressão em silicone para confeção de uma ponte provisória. Em seguida as coroas antigas foram cortadas com turbina e removidas, os cotos dentários foram re-preparados e as linhas de acabamento cervical foram colocadas a nível intra-sulcular. Em seguida foi feita a impressão com uma técnica de dupla mistura com duas viscosidades. No laboratório foram confecionadas duas coroas com infraestrutura em Zr e revestidas a cerâmica. Após verificação em boca e aprovadas pela paciente foram cimentadas com cimento de ionómero de vidro reforçado com resina. Esperamos dois meses para que a arquitetura gengival do sector anterior estabilizasse e então foi iniciada a substituição da coroa sobre o implante. Sendo uma coroa cimentada, primeiro foi cortada com turbina e depois removida. O coto foi desaparafusado do implante e foi feita uma impressão pela técnica de moldeira aberta. Foi confeccionada em laboratório uma coroa aparafusada com a utilização de um parafuso dinâmico, que permitiu contornar a inclinação do implante. Após aprovação pela paciente, a coroa foi definitivamente apertada ao implante e o orifício de acesso obturado. Por último, a realização da ponte no 2º quadrante começou com a confeção de uma pré-impressão para a confeção de uma ponte provisória. A coroa do 2.6 foi removida e o coto re-preparado simultaneamente com o preparo do dente 2.4. Em seguida foi feita a impressão com técnica de dupla mistura com dupla viscosidade. No laboratório foi confeccionada uma ponte de 3 elementos com infraestrutura em Zr revestida com cerâmica. Após verificação e aprovação foi cimentada com cimento de ionómero de vidro reforçado com resina. No final a paciente mostrou-se agradada com a reabilitação realizada.