Caso 56: laboratório

Ver caso clínico >

MOTIVO DA CONSULTA:
A paciente não gostou do resultado do tratamento a meio do mesmo. Os colegas tinham colocado um implante no local do 2.1 e feito duas cirurgias periodontais com o objetivo de melhorar a arquitetura gengival da zona. “Não gosto do aspeto da gengiva nem dos dentes provisórios e não quero fazer mais cirurgias”. Resumindo, a paciente queria melhorar a estética sem cirurgia.

DIAGNÓSTICO:
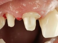
Paciente do sexo feminino com 42 anos, não fumadora. Apresentava ausência dos dentes 2.1 e 2.2 e um implante colocado no local de dente 2.1. Esse implante suportava uma ponte provisória de 2 elementos aparafusada. Os dentes 1.2 e 1.1 estavam reabilitados com 2 coroas, o 1.2 apresentava uma fratura da cerâmica vestibular e o 1.1 tinha a margem cervical exposta e infiltrada. A arquitetura gengival da zona edêntula mostrava ausência de papila interdentária e margem cervical alta, apesar de já ter sido submetida a duas intervenções de cirurgia periodontal. A ponte provisória sobre o implante tinha contornos pouco anatómicos e bastante placa bacteriana. Notava-se a ausência do dente 2.5 e o dente 2.6 tinha tratamento endodôntico e mostrava-se estruído. A paciente tem um fenótipo gengival médio e uma boa higiene oral.

PLANO DE TRATAMENTO:
Foi proposto à paciente a confeção de uma ponte de 2 elementos aparafusado ao implante colocado no local do 2.1 e uma ponte de 2 elementos para reabilitar os dentes 1.2 e 1.1. Após correção da anatomia da ponte provisória sobre o implante seria avaliada a arquitetura gengival da zona, podendo ser considerada a hipótese de ser utilizada uma ponte com componente cerâmico coronário e gengival. No plano de tratamento para o 2º quadrante estava pensada a colocação de um implante no local do dente 2.5 e fazer uma ponte de 2 elementos, cimentada sobre o dente 2.6 e aparafusada ao implante.

NOTAS DO TRATAMENTO:
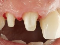
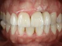
A ponte provisória foi desaparafusada para avaliar a arquitetura gengival subjacente. Os tecidos moles estavam inflamados, pelo que foi necessário corrigir o perfil de emergência e a anatomia do pôntico. A ponte provisória foi também devidamente limpa e polida. Entretanto, enquanto esperávamos a melhoria da saúde gengival desta zona, foi feita uma ponte provisória em acrílico no laboratório para reabilitar os dentes 1.2 e1.1. As coroas foram removidas e os cotos re-preparados. A ponte provisória foi rebasada em boca primeiro com acrílico auto polimerizável e de seguida com resina composta na zona cervical. A ponte provisória depois de devidamente acabada e polida foi cimentada temporariamente em boca. Passados 3 meses foi realizada a impressão definitiva aos dentes e aos implantes. O afastamento gengival dos dentes 1.2 e1.1 foi feito utilizando simultaneamente a técnica do fio de afastamento e do caulino comprimido pela ponte provisória. A impressão utilizou uma técnica de moldeira aberta com silicone de duas viscosidades. No laboratório foram confecionadas duas pontes de 2 elementos, uma sobre os dentes 1.2 e 1.1 e outra sobre o implante colocado no local do dente 2.1 com o pôntico do 2.2 em extensão. Essa ponte só tinha cerâmica de tonalidade coronária. A ponte foi verificada na boca e o ajuste estava bom, mas a paciente não gostou da estética. Particularmente na ponte sobre o implante, a zona inter-proximal. Notou muito a falta de papila interdentária. A outra ponte mostrou-se do seu agrado. Foi colocada resina composta de tonalidade gengival nesta zona inter-proximal procurando reproduzir o aspeto final se fosse utilizada cerâmica de tonalidade gengival. Funcionando como uma maquete, este procedimento permitiu à paciente visualizar a diferença do utilizar ou não a cerâmica de tonalidade gengival. A paciente aprovou esta opção sendo decidido incorporar a cerâmica de tonalidade gengival nesta zona. A ponte sobre os dentes 1.2 e 1.1 foi cimentada definitivamente com um cimento de ionómero de vidro reforçado com resina. Realizou-se uma impressão de arrasto com a ponte maquetizada com a resina composta de tonalidade gengival. No laboratório foi acrescentada cerâmica de tonalidade gengival de baixa fusão ao trabalho inicial. A paciente aprovou o tratamento sendo este apertado definitivamente e o orifício de acesso obturado. No 2º quadrante o dente 2.6 foi preparado e foi realizada uma impressão com técnica de moldeira aberta com silicone de duas viscosidades. No laboratório foi confecionada uma ponte de 2 elementos, aparafusada ao implante e cimentada ao dente. Note-se que a peça de encaixe no implante não tem elemento anti rotacional. Feita a verificação em boca e sendo o trabalho aceite pela paciente foi definitivamente colocado em boca. O aperto definitivo ao implante é feito simultaneamente com o endurecimento do cimento no pilar distal. Foi conseguido o objetivo inicial de melhorar a estética sem cirurgia.