Caso 57: laboratório

Ver caso clínico >

MOTIVO DA CONSULTA:
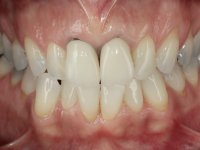
A paciente não gostava das coroas que tinha colocadas nos incisivos centrais. Não gostava que se visse o “escuro das raízes”. Não gostava também da tonalidade dos outros dentes, estavam “muito amarelos”.

DIAGNÓSTICO:
Paciente do sexo feminino com 41 anos de idade, não fumadora. Apresentava duas coroas sobre espigões falsos cotos fundidos nos dentes 1.1 e 2.1. As coroas apresentavam-se com infiltrações cervicais com exposição da superfície radicular. A papila gengival mediana, apresentava-se ligeiramente retraída. O espaço mesio-distal correspondente às duas coroas mostrava-se alto e estreito. Apresentava um ligeiro apinhamento dos incisivos inferiores, bem como uma pequena retração gengival. No sorriso era bem visível a zona cervical das coroas, mostrando um aspeto acinzentado correspondendo ao escurecimento radicular. No exame imagiológico verificou-se que o tratamento endodôntico não estava tecnicamente satisfatório, mas assintomático à quase 10 anos.

PLANO DE TRATAMENTO:
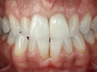
Foi proposta a substituição das duas coroas dos espigões falsos cotos fundidos após a realização de um branqueamento dentário. Equacionou-se também a possibilidade de refazer os tratamentos endodônticos, mas conclui-se que a remoção dos espigões falsos cotos teria um risco muito alto. Assim o plano de tratamento proposto resumiu-se à realização de um branqueamento dentário em ambulatório e à colocação de duas coroas com infraestrutura em Zr revestidas a cerâmica nos dentes 1,1 e 2.1.

NOTAS DO TRATAMENTO:
O tratamento iniciou-se com a confeção de moldeiras transparentes em silicone para aplicação de peróxido de carbamida a 16%. Os espaçadores colocados na superfície vestibular foram cuidadosamente preparados em resina nos modelos de gesso. O tratamento foi feito aplicando o produto 2 horas por dia durante 8 dias. Após o branqueamento esperamos 4 semanas e iniciamos o tratamento prostodôntico. Foi realizada uma pré-impressão em silicone para confeção de uma ponte provisória com resina composta de polimerização dual. Em seguida iniciamos a remoção das coroas. Foi feito um corte vertical na zona média da coroa até encontrar a superfície do espigão falso coto fundido. No bordo incisal também foi realizado o mesmo corte. Em seguida com um luxador fino foi feita a separação das partes distais das coroas. Para a remoção das partes mesiais foi feito um corte na linha média abrangendo ambas as coroas. No final da remoção atraumática das coroas antigas os cotos foram re -preparados. Na re-preparação dos cotos a linha de acabamento foi colocada a nível intra-sulcular. Na mesma consulta foi feita a impressão definitiva. O afastamento gengival foi realizado com a técnica da pasta de caolino comprimida pela ponte provisória.  A impressão foi feita pela técnica de dupla mistura com dupla viscosidade com silicone de presa rápida. No laboratório foram confecionadas 2 coroas com infraestrutura em Zr sendo revestidas a cerâmica. No sentido de evitar aparência de coroas “muito altas” foi aumentado ligeiramente o diâmetro mesio-distal sobrepondo-se ligeiramente aos dentes adjacentes. A ponte provisória foi removida os cotos foram polidos e as coroas foram colocadas para verificação final. Confirmado o seu ajuste e aprovadas pela paciente foram cimentadas definitivamente com cimento de ionómero de vidro reforçado com resina.