Caso 23: clínica

Ver caso laboratorial >

MOTIVO DA CONSULTA:
A paciente, não conseguia estabilizar a prótese removível superior, não gostava da sua aparência e queria ter dentes fixos.

DIAGNÓSTICO:
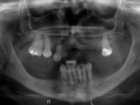
Paciente do sexo feminino, com 52 anos, não fumadora e portadora de uma prótese parcial removível acrílica superior e inferior. No maxilar superior estavam presentes os dentes 1.6/1.5/1.3 e 2.7. O canino apresentava-se com extração indicada. No maxilar inferior estavam presentes os caninos e os incisivos. As próteses removíveis utilizadas não estavam em boas condições. A paciente apresentava uma falta de apoio significativa do lábio superior mas as zonas edentulas do maxilar superior eram compatíveis com a colocação de implantes.

PLANO DE TRATAMENTO:
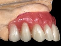
Após análise clínica e imagiológica foi proposto á paciente reabilitar o maxilar superior fazendo a colocação de 4 implantes e posteriormente ser reabilitada com uma Prótese Hibrida.Com a reabilitação proposta, também seria tentada a correção prostodontica da falta de apoio do lábio superior, desde que aprovada esteticamente pela paciente após um “Mock-up” prévio.

NOTAS DE TRATAMENTO:
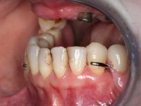
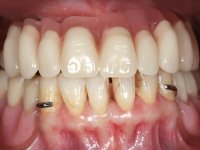
Inicialmente foram confecionadas duas novas próteses removíveis. O dente 1.3 foi extraído quando da colocação das próteses. Feito o estudo imagiológico necessário, foram colocados 4 implantes no maxilar superior. Após 3 meses de osteointegração foi feita a impressão para a confeção de ceras de articulação montadas em placa base aparafusadas aos implantes. Estas ceras foram utilizadas na recolha das relações inter-maxilares e na tentativa de proporcionar apoio ao lábio superior. Foi feita a prova de dentes com estes montados em placas base aparafusadas permitindo uma avaliação estética dinâmica muito interessante. Sendo validada esteticamente pela paciente, esta prova deu origem a uma muralha de silicone que orientou laboratorialmente a confeção da infraestrutura metálica. A infraestrutura metálica com os dentes montados em cera foi provada em boca, permitindo simultaneamente verificar a sua adaptação bem como a estética final. O trabalho final foi colocado em boca sendo acompanhado de instruções rigorosas de técnicas de higiene oral bem como da informação da necessidade de consultas de controlo periódicas.