Case 61: clinical

Go to lab case >

CHIEF COMPLAINT:
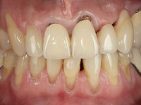
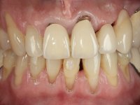
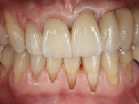
The patient comes to the consultation with a metal-ceramic bridge with great mobility. In addition to the near avulsion of the bridge, the patient was also interested in undergoing fixed oral rehabilitation, which improves aesthetics.

DIAGNOSIS:
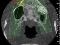
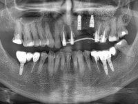
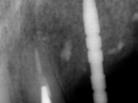
66-year-old male patient, non-smoker. It featured a 5-member metal-ceramic bridge with extreme mobility. Teeth 11 and 21 had infiltrated cervical margins. Both arches showed root exposure with signs of cervical abrasion. Composite resin “slots” were visible on the buccal surfaces of some mandibular teeth compatible with an orthodontic treatment with aligners that the patient was undergoing. After the imaging examination, it was found that the bridge's distal support, tooth 24, was irretrievably lost. The mesial pillars 11 and 21 had endodontic treatment and intraradicular posts. Teeth 25 and 26 also had endodontic treatment and extensive restorations in composite resin. In the lower jaw, two bridges were visible. In the third quadrant a 4-element bridge supported on tooth 35 and on 2 implants placed in the location of teeth 36 and 37. In the fourth quadrant a 3-element bridge supported on tooth 45 and an implant placed in the location of tooth 46. The patient presented a thick gingival phenotype and very good oral hygiene.

TREATMENT PLAN:
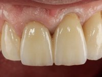
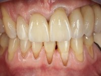
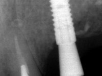
The patient was proposed to undergo a fixed oral rehabilitation consisting of a 2-element bridge over teeth 11 and 21 and a 5-element bridge over 3 implants that would be placed in the location of teeth 22, 24 and 26. The prosthetic structures would have an infrastructure in Zr coated with ceramic and the bridge over the implants would be screwed. The indicated extraction of teeth 25 and 26 and placement of an implant in the 26 site would imply surgery to fill the maxillary sinus. As the patient showed interest in having fixed temporary rehabilitation during treatment, we divided the treatment into 6 phases to achieve this goal: 1- Placement of a temporary bridge over teeth 11,21,25 and 26. With tooth extraction 24. 2- Placement of 2 implants in the location of teeth 22 and 24. 3- Placement of a temporary 6-element bridge over teeth 11 and 21 and over the implants. 4- Carrying out surgery to fill the maxillary sinus. 5 – Placement of the implant in the location of tooth 26 and in the area where the filling of the maxillary sinus was made. 6 – Placement of the definitive work.

TREATMENT NOTES:
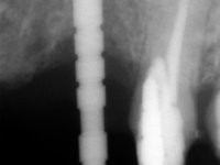
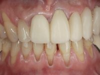
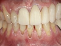
A temporary acrylic bridge made in the laboratory with 7 elements was made, with teeth 11,21, 25 and 26 as pillars. The old bridge was removed and tooth 24 was extracted. The provisional bridge after relining was cemented in the mouth. Two implants were placed in the teeth 22 and 24 and 3 months after this intervention an impression was made to make a temporary bridge screwed over the implants and cemented to the teeth. The bridge was placed in the mouth and teeth 25 and 26 were extracted. 3 months later, surgery was performed to fill the maxillary sinus and 6 months later the implant was placed in the location of tooth 26. After osseointegration of this implant, the final impression was made for the final work. The bridge over the implants was permanently screwed on and the bridge over the teeth was cemented with resin-reinforced glass ionomer cement.

COLLABORATION:
Maxillary sinus filling surgery was performed by colleague Dr. Ivo Teixeira Lopes