Case 60: clinical

Go to lab case >

CHIEF COMPLAINT:
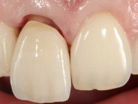
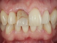
The patient did not like the upper right central incisor. I wanted to improve the smile because the “front tooth was dark and narrow”.

DIAGNOSIS:
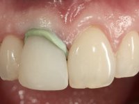
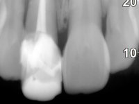
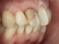
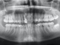
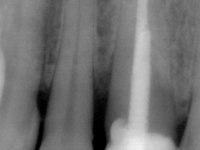
Female patient, 41 years old, non-smoker. It presented tooth 11 with a composite resin restoration, of great extension, very infiltrated and aesthetically poor. In the imaging exam, it was verified that the endodontic treatment was not technically satisfactory, but asymptomatic for almost 20 years. Between teeth 11 and 12 it showed a periodontal pocket certainly related to the non-adapted restoration. Tooth 11 showed a reduced mesiodistal diameter in relation to the symmetrical one. Medium thickness periodontal with satisfactory oral hygiene.

TREATMENT PLAN:
It was proposed to the patient to make a full-coated crown with a ceramic-coated Zr infrastructure that would aesthetically and functionally rehabilitate tooth 11. We decided not to redo the endodontic treatment given the absence of signs and symptoms for more than 20 years. The coronary structure would be previously reinforced with the placement of an intraradicular post and the making of a new restoration in composite resin. Periodontal pocket would be surgically addressed.

TREATMENT NOTES:
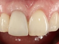
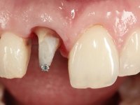
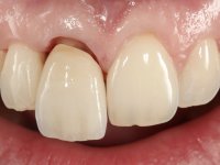
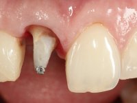
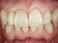
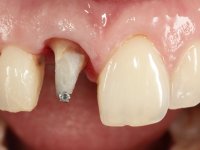
The treatment began with the placement of an intraradicular post and the creation of a new composite resin restoration. This procedure was performed with a surgical approach that allowed the remaining margins to be completely exposed, which were shown to be at a very infra-gingival level. Simultaneously, the periodontal pocket was curetted and root scaling and root planning of adjacent teeth were performed. Two months after this first intervention, the making of the crown began. A pre-print on silicone was performed to make a temporary crown with dual-cured composite resin. Gingival retraction was performed using the technique of kaolin paste compressed by the provisional crown. The impression was made using the double-mix technique with double viscosity with quick-setting silicone. In the laboratory, a crown with a ceramic-coated Zr infrastructure was made. The crown slightly overlapped tooth 12, allowing a dimensionally mimicry of the symmetrical tooth. Its fit was confirmed and approved by the patient; it was definitively cemented with resin-reinforced glass ionomer cement.