Case 10: clinical

Go to lab case >

CHIEF COMPLAINT:
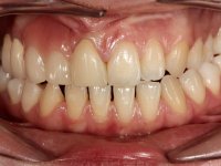
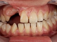
Bad esthetics and insufficient function of the anterior upper teeth due to a surgical correction of a labial and palatal cleft.

DIAGNOSIS:
Female patient, 20 years old, non-smoker, had several surgical interventions to correct labial and palatal cleft. Patient presented a significant edentulous area between teeth 13 and 11, also due to the absence of teeth 12 and 15. Due to a traumatic impact, tooth 11 was non-vital, and extensively reconstructed with composite. Patient also had an orthodontic appliance with two prosthetic teeth and a buccal arch in this area to avoid teeth movement in this area. The area of the surgical correction of the labial and palatal cleft presented a significant deformity of hard and soft-tissues.

TREATMENT PLAN:
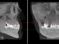
Root canal treatment was immediately performed on tooth 11. In the meanwhile, a CBCT scan was done to evaluate bone quality and quantity in the cleft area. The available bone was significantly reduced in vertical and horizontal dimensions. Due to the difficulty in performing a bone augmentation in this area, together with periodontal surgery to improve soft tissues, our treatment plan was the following:
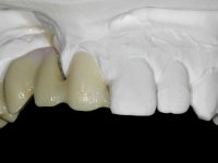
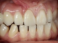
Fixed partial denture between teeth 15 and 11, using teeth 14, 13 and 11 as abutments. Teeth 12 and 15 were planned as ovoid pontics. The framework material chosen was zirconia and the veneering ceramics should have a gum-shade component to rehabilitate the soft-tissues.

TREATMENT NOTES:
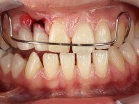
After the root canal treatment of tooth 11, dental impressions were taken to do a fixed provisional (reinforced) acrylic prosthesis. The provisional bridge included an acrylic component with a gum-shade color, to evaluate the integration of the treatment plan, in relation to function and esthetics. The preparation of teeth 14 and 13 were minimal invasive, with supra-gingival finishing lines, preserving enamel at its uttermost. Tooth 11 was prepared in a conventional way, with an intra-sulcular margin. The provisional bridge was rebased intra-oral with an autopolymerized acrylic. After 4 weeks, a dental impression with a double mixture technique was done. In the dental lab, CAD-CAM technology was used to produce a zirconia framework. In the provisional bridge, it was noted by the patient, and by ourselves, the need for symmetry in the dimensions and shape of the teeth, in relation to their homologues of the 2nd quadrant. Accordingly, a mirror effect was selected in the CAD design of the framework, to mimic in the prosthetic structure the dimensions and shape of the homologous natural teeth. Framework design included also a small zirconia wing covering the palatal surface of the non-prep tooth 21. This wing serves as an additional support and, simultaneously, avoids an eventual occurrence of a future diastema between central incisors. Color selection of teeth and soft-tissues was done by the ceramist in the dental office. After evaluation and approval of the prosthetic work placed in mouth, the dental bridge was bonded. This bonding procedure was optimized by the addition of a zirconia liner in the inner surface of the framework and in the internal surface of the wing. This treatment proved to be esthetically acceptable and functionally able, with a strong contribution to the patient’s self-esteem.