Case 9: clinical

Go to lab case >

CHIEF COMPLAINT:
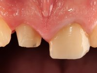
Repeated fractures of an extensive reconstruction in composite resin of tooth 11.


DIAGNOSIS:
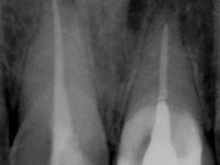
Male patient, 45 years old, smoker, with oesophageal reflux and poor oral hygiene. Teeth 11 and 21 presented an endodontic treatment and tooth 21 was rehabilitated with a Richmond type crown done 12 years ago. Tooth 11 presented an extensive restoration in composite resin in the buccal surface bonded exclusively to dentin. The palatal surface presented acid erosion and an extensive reconstruction in the endodontic access. The clinical crown was 4,5mm height and the root had 11mm.


TREATMENT PLAN:
An endodontic crown was proposed to the patient due to the reduced dimension of the clinical crown and the (almost) full absence of enamel. Two goals to be achieved:

   • Try to get some mechanical retention in the interior of the endodontic access cavity.
   • Do not prepare the root canal to prevent its weakness.

The endocrown should be constructed with a zirconia framework with an ‘intra-root’ and crown components, being this last one veneered with ceramics.

TREATMENT NOTES:
After a previous dental impression in silicone to construct a provisional crown with the original shape, a tooth preparation was done following the principles of the Richmond crown. The intra-coronal preparation was done only until the enamel-cement line, without including the root.
After the tooth preparation, a provisional crown was done in composite resin, dual polymerization.
After two weeks, the tooth margins were exposed by using a kaolin paste in the sulcus, followed by compression with the provisional crown. Then, the dental impression was done with the double-mixture technique, with two silicone viscosities and a plastic tutor.
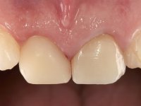
CAD-CAM technology was used to design and construct an endocrown with a zirconia framework veneered with ceramics. The crown was then bonded to the tooth, by using an MDP based adhesive and a dual polymerization composite resin.
The final result presented an aesthetically integration that has been achieved with a less invasive approach.