Case 12: clinical

Go to lab case >

CHIEF COMPLAINT:
Patient was not able to stabilize or retain the inferior acrylic partial denture.

DIAGNOSIS:
Female patient, 57 years-old, non-smoker, with a full denture in the maxilla and a removable partial denture in the mandible. Teeth 43-41-41-31-32 were indicated for extraction. Posterior sectors of the mandible presented significant bone resorption.

TREATMENT PLAN:
After clinical and radiological evaluation several rehabilitation plans were discussed with the patient. It was decided to extract the remaining lower teeth and do an overdenture retained by two dental implants with the locator attachement system to achieve a better retention and stabilization of the lower denture.

TREATMENT NOTES:
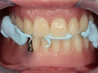
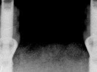
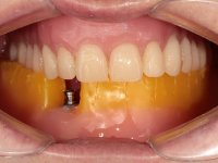
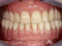
Two dental implants were planned in the CBCT scan, in the area of the inferior canines. The dental extractions were performed and, simultaneously, the alveolar crest was flattened and the implants were placed. Three issues were considered while implant placement: parallelism of the axis, same height of the implant’s neck, and same position in the coronal plan. This 3D insertion is essential to have a good retention of the overdenture in the future. Patient’s removable denture was fixed in the dental lab, to include the extracted teeth, and a soft-tissue relining was done over the healing abutments. After the osseo-integration period, a first impression was done with an open-tray and a doble-mix technique. This dental impression allowed the production of screwed wax-rims and an individual tray for a functional impression. A second impression, final, was done with an individual tray with a monophasic silicone. The occlusal wax-rims were correct in the mouth according to the full denture guidelines. Special care was taken with the occlusal vertical dimension and the support in the soft-tissues. A silicone bite registration material was used to better defined the intermaxillary relations. Teeth set-up was done in the dental lab with the selected tooth color. Due to the fact that the base was screwed to the dental implants, the teeth set-up was functionally evaluated in the mouth. Another silicone bite registration material was used to allow final occlusal adjustments. Finally, the locators were screwed and the retention nylons were selected according to the patient needs.