Case 31: clinical

Go to lab case >

CHIEF COMPLAINT:
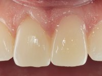
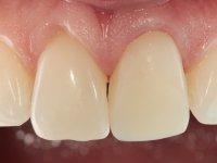
Patient disliked the “yellow stain on the front tooth”.

DIAGNOSIS:
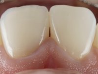
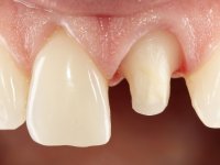
Female patient, 36, non-smoker. Tooth 2.1 presented endodontic treatment, and a chromatic alteration in the vestibular surface. The yellowish stain seemed to result from a change of depth in the enamel. Tooth 1.1 had a slight gingival retraction. Good hygiene and periodontal health.

TREATMENT PLAN:
The patient was offered a feldspathic ceramic veneer, as a minimally invasive procedure to solve the aesthetic problem. Although the tooth presented endodontic treatment, it was my purpose to preserve dental structure. It was however reported that if the enamel change was too deep, we might have to perform a full-face crown in order to "mask" the aesthetic problem with a more opaque structure.

TREATMENT NOTES:
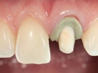
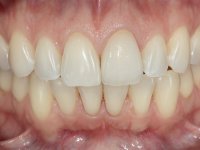
After preparation of a silicone pre-print, tooth preparation was conducted. When the veneer was prepared, it was verified that it was present in depth. Enamel shade guides were placed from a personalized shade guide with vaseline over the stain, to see if it could be eliminated with a veneer. This turned out not to provide an adequate solution. I made the decision to move to a full-length restoration, a crown. Immediately after dental preparation for the crown, a temporary restoration was made in composite resin by the pre-printing method. The provisional was used to compress a kaolin paste and to perform gingival retraction. An impression was made using wash technique Impression. In the laboratory, a crown with ceramic-coated Zr infrastructure was prepared. In the mouth, for aesthetic reasons, the distal surface was corrected with dental polishing discs and adequate dental rubber polishing points. The work was approved by the patient, and definitive cementation was performed with resin reinforced glass ionomer.