Case 32: clinical

Go to lab case >

CHIEF COMPLAINT:
The patient was worried about an "old crown that appeared to be unfit." The desire to "improve the front teeth aesthetics" was also mentioned.

DIAGNOSIS:
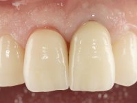
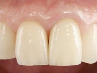
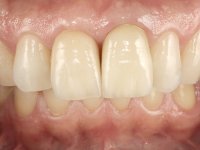
Male patient, 52, non-smoker. Tooth 2.1 with endodontic treatment and a metallic ceramic crown more than 20 years old, retained by an intraradicular post. The crown presents cervical infiltration and a 2mm root exposure. Tooth 1.1 presents an extensive composite resin restoration with infiltration. Good periodontal health. Patient also carries a lower removable prosthesis.

TREATMENT PLAN:
A crown with ceramic-coated Zr infrastructure was suggested for tooth 2.1, and a feldsphatic veneer for tooth 1.1.

TREATMENT NOTES:
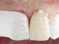
After removing the metallic ceramic crown from tooth 2.1, the dental abutment was re-prepared, placing the cervical finish line intrasulcular. On tooth 1.1 preparation was done for a vertical insertion veneer. After gingival retraction cords were placed, immediate dentin sealing was performed. Printing was performed using the wash technique, and the provisional bridge was placed. In the laboratory, work was done on a Geller Model cast. A feldspathic veneer for tooth 1.1, and a ceramic-coated crown with Zr infrastructure. After absolute isolation with a rubber dam, veneer bonding was done. After veneer bonding, the rubber dam was removed and a Teflon relative insulation was made for crown bonding.