Case 33: clinical

Go to lab case >

CHIEF COMPLAINT:
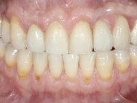
Patient felt the "bridge over the Implant shaking" and had "gum pain".

DIAGNOSIS:
60-year-old female patient, non-smoker. Patient appeared for consultation presenting mobility on a screwed metallic ceramic bridge over an implant, in place of tooth 2.3. Imaging examination revealed a bone-level fracture on the implant. Adjacent soft tissues were inflamed and hemorrhagic. Patient had parafunctional habits and showed satisfactory oral hygiene.

TREATMENT PLAN:
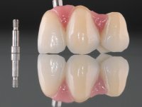
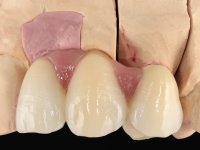
After clinical and imaging evaluation, it was decided not to remove the fractured implant, but to submerge it. Explantation of the implant would cause a deformity difficult to rehabilitate. Thus, it was decided to place an implant at the site of tooth 2.2 and later perform rehabilitation with a 3-units metallic ceramic bridge. Virtual planning of implant placement as well as the confection of a surgical guide would be mandatory for its correct positioning. A ceramic bridge with coronary and gingival shade would be screwed to the implant, and cemented in tooth 2.4, with 2.3 as pontic. Temporization would be made with a 3-elements provisional bridge, cemented to tooth 2.4 and bonded with a metallic support to tooth 2.1.

TREATMENT NOTES:
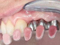
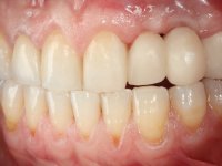
Once the diagnosis was made, a temporary acrylic bridge with reinforcement was created in the laboratory. The 3-unit bridge would use tooth 2.4 as abutment, have teeth 2.3 and 2.2 as pontics, and would have palatine support from tooth 1.1. After removal of the bridge over the implant, tooth 2.4 was prepared and the bridge relined on-mouth with acrylic. Before installation of the provisional bridge, an impression was made for confection of an imagiologic guide. In the following session, a CT Scan was performed with the imagiologic guide. The virtual planning of implant placement at the site of tooth 2.2 gave rise to a surgical guide. Placement of the implant was done with the guided surgery technique, complemented with guided bone regeneration. The fractured implant was cut with the objective of submerging it. In the following 3 months, osseointegration of the implant was achieved, as well as complete maturation of the hard and soft tissues. During this period, the patient used a fixed provisional bridge. The impression of the implant and the prepared tooth was made using the open tray impression technique. The working model cast was performed with artificial gingiva, and on it was constructed a 3-units metal framework, to be cemented on tooth 2.4 and screwed on the implant placed at the site of the tooth 2.2. Infrastructure test was done by clinical and imaging validation. In this consultation, the intention to use coronary and gingival ceramic was confirmed, and color was selected using individualized color guides. With the infrastructure placed in the mouth, I performed a new intermaxillary registration with silicone, to confirm the previous registration. Coronary and gingival ceramic were placed covering the infrastructure, and with the finished work, before its placement, its integration in the mouth was again verified. Fixation was done with cementation on tooth 2.4, and screwed onto the implant. Finally, its occlusal integration was rigorously evaluated.