Case 42: lab

Go to clinical case >

CHIEF COMPLAINT:
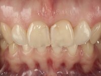
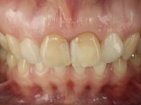
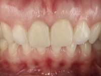
The patient wanted to "make the two front teeth prettier", because "they had a darker color and the restorations were noticeable."

DIAGNOSIS:
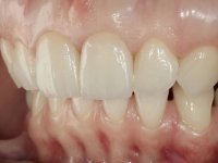
Patient presented teeth 1.1 and 2.1 with endodontic treatment and with extensive composite resin restorations. The teeth had a darker shade, with slight root exposure, and resin restorations were unaesthetic. The patient had several restored teeth and an implant placed in the position of tooth 2.6, which showed a thick gingival phenotype. Oral hygiene was excellent.

TREATMENT PLAN:
It was suggested to place metallic intra-radicular metallic posts on teeth 1.1 and 2.1, to be rehabilitated with two ceramic crowns with Zr infrastructure. This option took into account 3 constraints:

1. The teeth presented endodontic treatment and extensive restorations;

2. The cervical third and darkened root discouraged supra gingival finishing lines.

3. Coronary coloration difficult to mask with laminates.

TEAM PLAY “DENTIST – DENTAL TECHNICIAN” NOTES:
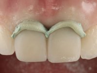
The obturator restoration of access to endodontic treatment was completely removed to facilitate access to the filling material. The intraradicular channels were first disbilled with peeso burs and then prepared with precalibrated drills. Intra-radicular posts were tested, and its placement was radiographically controlled. The coronary excess of the posts was eliminated prior to their cementation. A fluid composite resine with dual polymerization was used for bonding / cementation. In order to visualize the advantage of vertically increasing the size of the central incisors, a little composite resin was placed on the incisal edges before making the silicone index to make the temporary restorations. A dental preparation with chamfer cervical finishing lines was made, trying to place the lines in an intrasulcular position. The provisional restorations were made with fluid composite resin with dual polymerization. A more pronounced adjustment was also made to the finishing lines with a higher consistency composite resin. After confection of the provisional bridge, it was carefully finished and polished. Gingival retraction was done in a non-invasive manner using the provisional bridge to uniformly compress a kaolin paste. The definitive impression was made using wash technique impression with silicone of heavy and regular consistency, both with fast setting, and a working plaster model was made in the laboratory. The work model was digitized, and in the laboratory, using CAD-CAM technology, an infrastructure was made in Zr and later coated with ceramic. After removal of the temporary bridge, dental abutments were carefully cleaned. The prosthetic parts confirmed adaptation to the cervical finishing lines, displayed good integration in the anatomy of the groove, and were aesthetically approved. The procedure was completed by cementation of crowns, using resin-reinforced glass ionomer cement.