Case 43: lab

Go to clinical case >

CHIEF COMPLAINT:
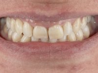
The patient wanted to "replace a milk tooth that fell” and would like a fixed tooth, but did not want to extract the impacted tooth, nor to place an implant.

DIAGNOSIS:
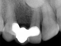
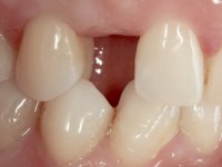
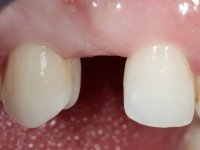
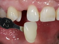
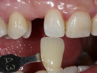
Female patient, 43 years old, non-smoker. Showed an edentulous space in the upper right canine area, resulting from tooth 1.3 impaction. The space had a mesio-distal diameter reduced to the normal size of the upper canine. This is consistent with the presence in the arch of the deciduous canine up to two years ago). Orthopantomography allows clearly view of tooth 1.3 impaction.The patient has a thick gingival phenotype and tolerable oral hygiene.

TREATMENT PLAN:
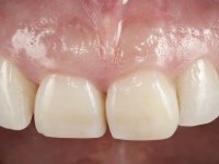
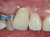
The proposed treatment results from the limitations imposed by the patient, who refused an orthodontical pull of the canine into the edntulous space, and was unwilling to extract the impacted canine and place an implant in the zone of 1.3. Thus, the confection of a Maryland Bridge was proposed, with a Zr infrastructure and two retainers. The mesial retainer would be bonded to the palatal face of the tooth 1.2 and the distal retainer was to be bonded to the palatal wall of tooth 1.4.

TEAM PLAY “DENTIST – DENTAL TECHNICIAN” NOTES:
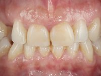
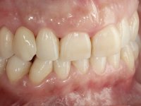
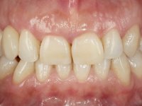
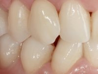
To define the dental zone to be covered by the Maryland bridge retainers, the patient was asked to perform maximum intercuspidation movements, and the contact points were marked with articular paper. Tooth preparation of the interproximal surfaces was made, to create a prosthetic insertion axis. It was sought that the mesio-distal diameter at the incisal level was equal to the diameter mesio-distal at the cervical level, that is to say, the interproximal walls were parallelized. Tooth preparation was done with fine grain diamond drills, and later polishing was done with abrasive discs. Color information was collected even before confection of the impression, to avoid dehydration of the arcade. Definitive impression was made using wash technique impression with silicone of heavy and regular consistency, both with fast setting, and a working plaster model was prepared in the lab. A laboratory scanner was used to scan the working model, and later, the infrastructure for the Maryland bridge was made using a CAD-CAM process. Ceramic was placed on this subframe. A ceramic adhesive was applied to the internal surface of the wings and connectors, which would enable bonding to the adjacent teeth. The adhesive bridge was bonded in the mouth following the conventional bonding technique. After bonding, the protrusion and laterality movements were carefully checked to avoid undesirable contacts.